Vasogenes Hirnödem
Zuletzt bearbeitet von Alaric Steinmetz am
Das vasogene Hirnödem stellt eine spezifische Form des Hirnödems dar, welches durch eine Dysfunktion der Blut-Hirn-Schranke charakterisiert ist.
Charakteristika
Im Zentrum des vasogenen Hirnödems steht die Beeinträchtigung der Blut-Hirn-Schranke. Bei einer Störung dieser Schranke kommt es zum Übertritt von Serumproteinen und anderen Substanzen in den extrazellulären Raum des Gehirns. Dies führt zu einer Zunahme des extrazellulären Volumens und somit zur Entstehung eines Ödems.
Ätiologie
Typische Ursachen für ein vasogenes Hirnödem sind Pathologien, die eine direkte Beeinträchtigung der Blut-Hirn-Schranke bewirken. Dazu zählen insbesondere Hirntumore, wie beispielsweise das Glioblastom.
Behandlung
Die Behandlung des vasogenen Hirnödems primär die der Behbung des Auslösers des Ödems, wie beispielsweise die Resektion eines Tumors, welcher das Ödem auslöst. Eine Reduktion des Ödems kann auch medikamentös durch den Einsatz von Kortikosteroiden, wie Dexamethason erreicht werden. Diese Medikamente wirken entzündungshemmend und reduzieren die Permeabilität der Blutgefäße für Makromoleküle, wodurch die Ödembildung verringert wird[^1].
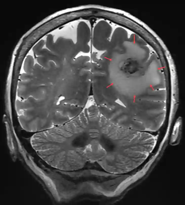
Bildgebung
Bildgebend lässt sich ein vasogenes Hirnödem optimal in einer T2 MRT Bildgebung darstellen. In der T2 Sequenz zeigt sich ein vasogenes Hirnödem hyperintens.
