Kolloidzyste
Zuletzt bearbeitet von Alaric Steinmetz am
Synonyme: Colloid cyst, neuroepithelial cysts
ICD-10: D33.0, G93.0
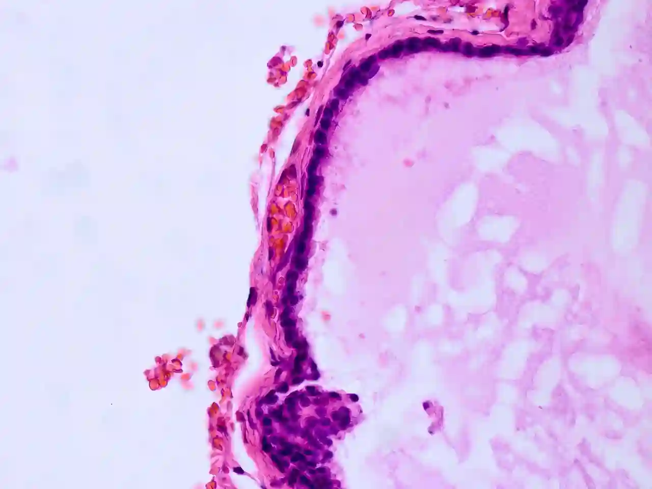
Bei Kolloidzysten handelt es sich um gutartige, zystische Strukturen, die mit einer Epithelschicht ausgekleidet sind. Typisch für die Kolloidzyste ist der mukoide Flüssigkeitsinhalt innerhalb der Zyste.
Epidemiologie
Kolloidzysten stellen etwa 0,5-1 % aller intrakranieller Tumore dar. Das typische Alter bei Erstdiagnose ist 20-50 Jahre[^3].
Lokalisation
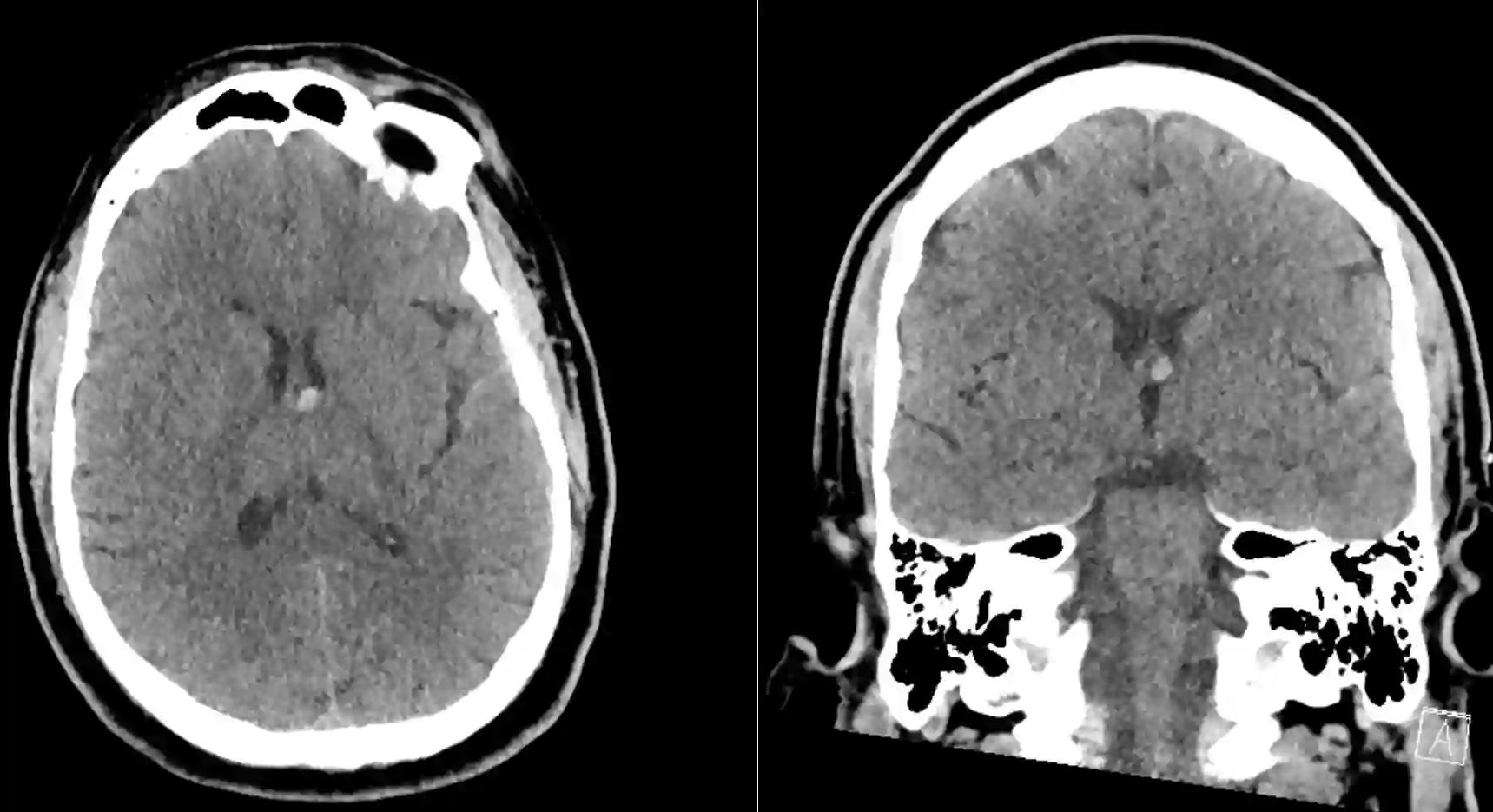
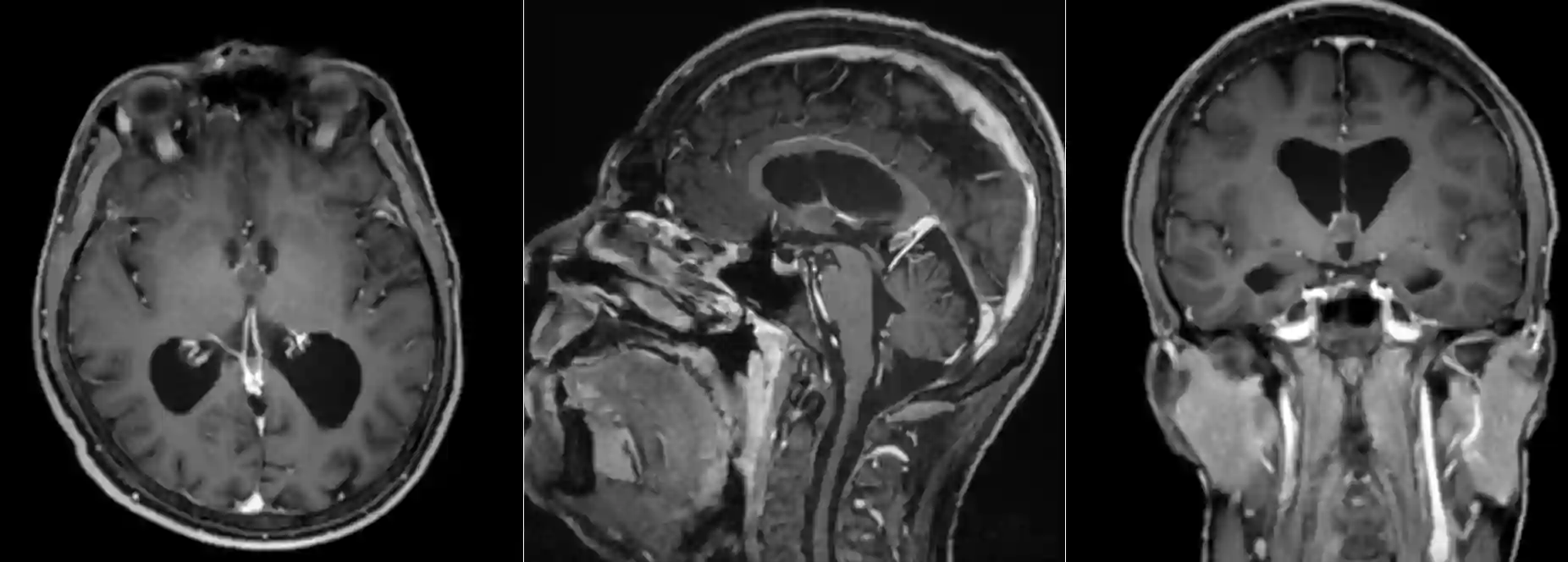
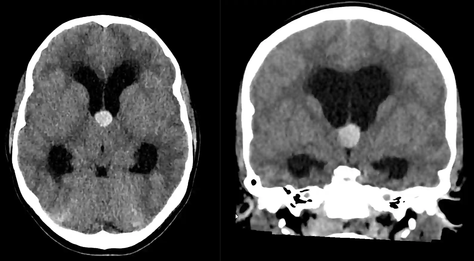
Typischerweise kommen Kolloidzysten im dritten Ventrikel vor und verhindert dort oftmals den Liquorabfluss und können somit zu einem Hydrocephalus führen.
Symptome
Häufig sind Kolloidzysten ein asymptomatischer Zufallsbefund. Bei Störung der Liquorzirkulation können Kolloidzysten jedoch Kopfschmerzen verursachen, welche typischerweise intermittierend und stark ausgeprägt sind und üblicherweise frontal auftreten[^1]. Zusätzlich sind häufig Übelkeit und Erbrechen mit den Kopfschmerzsymptomen assoziiert. Ein durch die Kolloidzyste verursachter Liquoraufstau kann auch zur Bewusstseinseintrübung bis hin zum Tod führen[^1].
Bildgebung
Kolloidzysten können in einer CT oder MRT Bildgebung dargestellt werden, wo sich die Zyste üblicherweise im anterioren Anteil des dritten Ventrikels befindet. In der MRT als auch CT Bildgebung zeigen sich Kolloidzysten variabel jedoch üblicherweise wie folgt[^2]:
MRT Bildgebung
MRT T1 Sequenz | MRT T2 Sequenz | MRT T1 mit Kontrastmittel |
Hyperintense | Hypointense | Minimales Enhancement, teils nur die Kapsel |

CT Bildgebung
Kalzifizierungen werden bei Kolloidzysten nur selten beobachtet[^2].
CT nativ | CT mit Kontrastmittel |
Hyperdens | Ca. 50 % zeigen ein leichtes Enhancement |


Behandlung
Die chirurgische Resektion von Kolloidzysten kann mikrochirurgisch oder endoskopisch erfolgen[^4].
Prognose
Bei einer unvollständigen Resektion der Kolloidzyste besteht ein signifikantes Risiko für ein Rezidiv der Zyste. [^5].
Histopathologie

Operationsvideos
-
20231FOCVID22140.mp4 187.47 MB
- Video Beschreibung
- Operationsvideo einer endoskopischen Entfernung einer Kolloidzyste.
- Lizenz
- CC BY 4.0