Fetale Arteria cerebri posterior (fPCA)

Zuletzt bearbeitet von Alaric Steinmetz am

Synonyme: fPCA

Als fetale Arteria cerebri posterior (fPCA), oder auch als fetale PCA bezeichnet man eine anatomische Variante des Abgangs der Arteria cerebri posterior. Hierbei wird die Hauptperfusion der Arteria cerebri posterior durch die Arteria carotis interna und nicht durch das Vertebralisstromgebiet gewährleistet. Man unterscheidet zwischen einer vollständigen fetalen PCA und einer partiellen fetalen PCA[^2]. Bei der vollständig fetalen PCA entspringt die PCA direkt aus der ICA ohne Verbindung zur Arteria basilaris. Bei der partiellen fetalen PCA besteht weiterhin eine Verbindung zur Arteria basilaris.

Definition

Eine fetale PCOM Variante ist definiert als PCOM Arterie, welche das gleiche Kaliber wie das P2 Segmet der PCA aufweist und mit einem atrophierten P1 Segment assoziiert ist[^3].

Epidemiologie

Eine fetale PCOM ist bei ca. 4-46 % der Patienten vorhanden[^1] [^3]. Eine bilaterale fetale PCOM Variante lässt sich bei 1-9 % der Patienten finden[^3].

Bildgebung

Eine fetale PCOM kann auf einer MR-Angiographie oder auch digitalen Subtraktionsangiographie visualisiert werden.

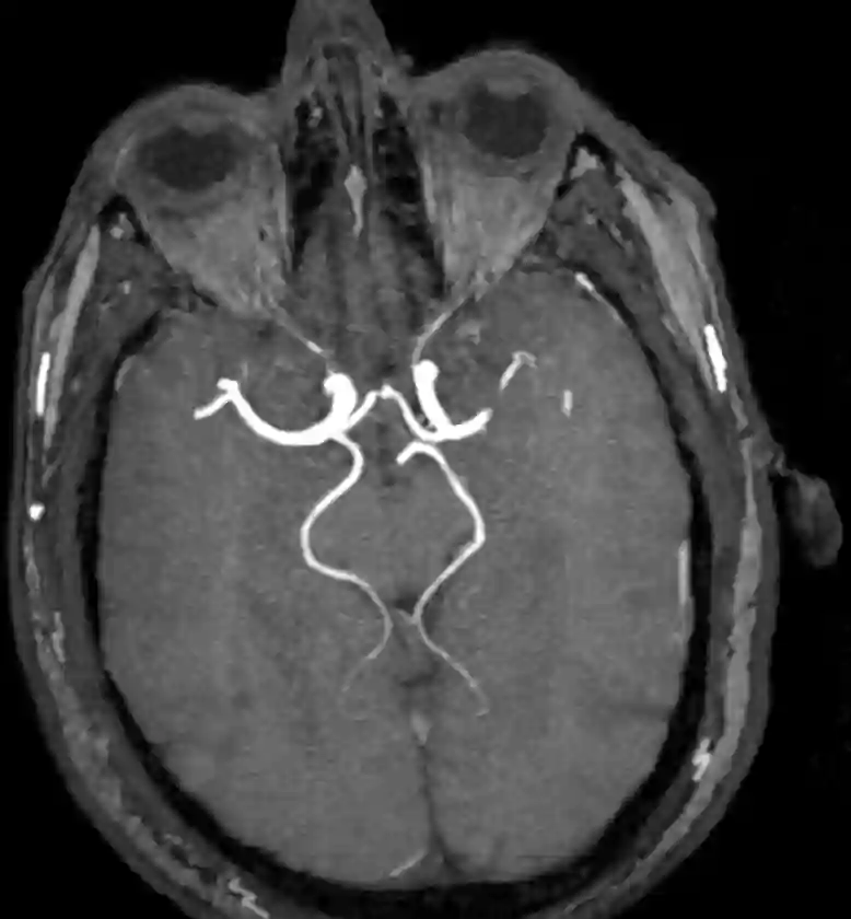
fetale PCOM MRI
Fetale PCA rechtsseitig in einer MRI TOF Sequenz.

Klinische Relevanz

Patienten mit einer fetalen PCA können sich bei einer Durchblutungsstörung der Arteria carotis interna, wie bei einer PCA Ischämie symptomatisch zeigen.