Cauda equina

Zuletzt bearbeitet von Alaric Steinmetz am

Als Cauda equina bezeichnet man die Fortsetzung des Conus medullaris. Es handelt sich hierbei um eine Ansammlung intradural verlaufender Spinalnervenwurzeln am kaudalen Ende des Rückenmarks.

Abbildung

Lumbale Dura mater eröffnet
Abbildung der spinalen Dura und deren Inhalte am kaudalen Ende. Abbildung adaptiert von Sobottas Atlas and Text-book of Human Anatomy 1909 Figure 614.

Bildgebung

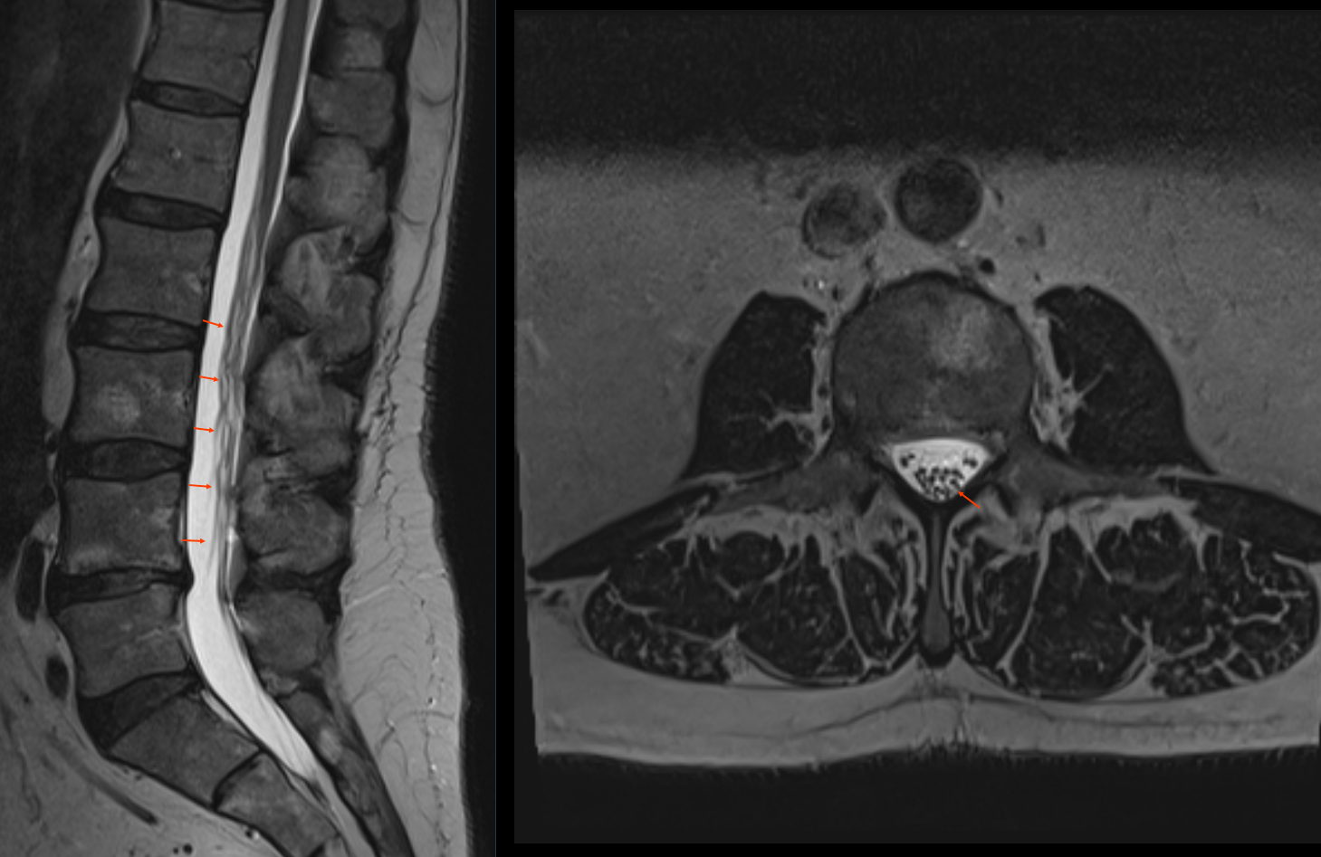
Cauda equina im MRT
Darstellung der Cauda equina im sagittalen und axialen T2 MRT Bild.

Klinische Relevanz

Eine Kompression der Cauda equina kann beispielsweise durch einen lumbalen Bandscheibenvorfall, einer Spinalkanalstenose oder einen Tumor entstehen und kann zu einem Cauda Equina Syndrom führen.