Aspergillom

Zuletzt bearbeitet von Alaric Steinmetz am

Ein Aspergillom ist eine Pilzinfektion, die durch Schimmelpilze der Gattung Aspergillus verursacht wird. Aspergillome kommen am häufigsten in der Lunge vor, können jedoch auch das Zentralnervensystem (ZNS) befallen und stellen dort eine seltene, aber lebensbedrohliche Erkrankung dar. Aspergillome treten überwiegend bei immungeschwächten Personen auf, kann aber auch immunkompetente Patienten betreffen.

Pathophysiologie

Aspergillus-Sporen sind in der Umwelt allgegenwärtig und werden täglich vom Menschen eingeatmet. Bei Personen mit einem gesunden Immunsystem werden diese Sporen in der Regel problemlos eliminiert. Bei einer geschwächten Immunabwehr, wie sie bei Patienten nach Organtransplantationen, bei Leukämie oder bei langzeitiger Kortikosteroidtherapie vorkommt, können die Sporen jedoch auskeimen und das Gewebe invasiv befallen. Der häufigste Weg, auf dem Aspergillus das ZNS erreicht, ist die hämatogene Ausbreitung von einem primären Infektionsherd, meist der Lunge. Seltener erfolgt die Ausbreitung direkt (per continuitatem) von benachbarten Strukturen wie den Nasennebenhöhlen oder dem Felsenbein. Nach neurochirurgischen Eingriffen oder Schädeltraumata kann es in seltenen Fällen auch zu einer direkten Inokulation der Sporen kommen. Im Gehirn angekommen, neigt der Pilz dazu, in die Blutgefäße einzuwachsen, was zu Thrombosen, Infarkten und Blutungen führen kann. Die daraus resultierende Läsion ist typischerweise ein abgekapselter Abszess, das Aspergillom, das aus einem dichten Geflecht von Pilzhyphen, Entzündungszellen und nekrotischem Gewebe besteht.

Symptome

Die klinische Symptomatik eines intrakraniellen Aspergilloms ist unspezifisch und hängt von der Lokalisation und Größe der Läsion ab. Häufige Symptome sind Kopfschmerzen, Fieber, fokal-neurologische Ausfälle, Krampfanfälle und Bewusstseinsstörungen.

Diagnostik

Die definitive Diagnose erfordert den histopathologischen Nachweis von Pilzhyphen in einer Gewebeprobe, die in der Regel durch eine Biopsie oder während der Resektion gewonnen wird. Ergänzend können Kulturen aus dem entnommenen Material angelegt werden, um die genaue Aspergillus-Spezies zu identifizieren und eine gezielte antifungale Therapie zu ermöglichen. Der Nachweis von Aspergillus-Antigenen (z. B. Galactomannan) im Blut oder Liquor kann ebenfalls hinweisend sein, ist aber nicht immer zuverlässig[^1].

Bildgebung

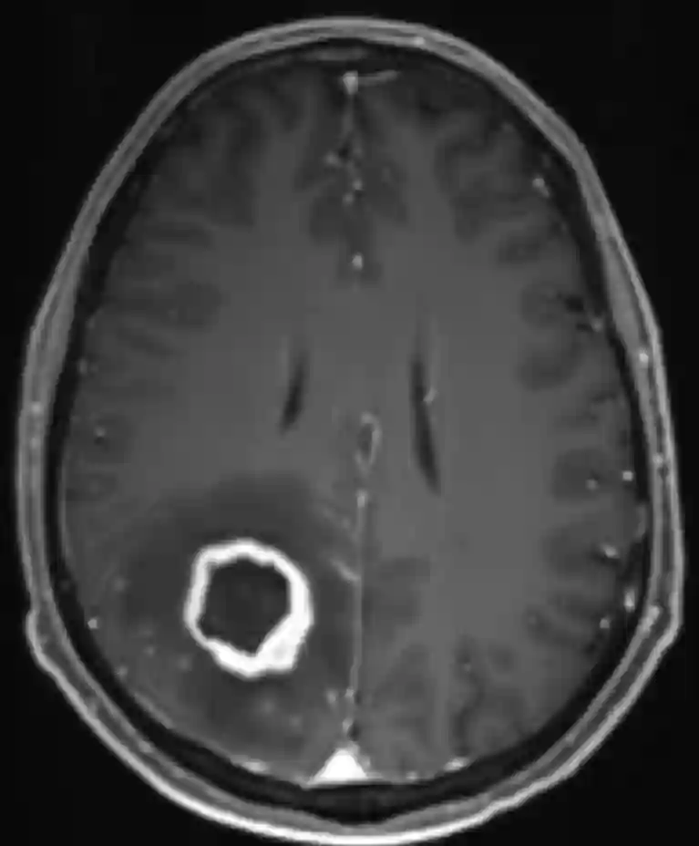
Die MR-Bildgebung ist der Goldstandard in der Darstellung von Aspergillomen, welche sich bildgebend wie ein Abszess darstellen.

Aspergillom im MRI
Darstellung eines histopathologisch gesicherten Aspergilloms in einer axialen T1 Sequenz mit Kontrastmittel lokalisiert parietal auf der rechten Seite.

Therapie

Der Goldstandard in der Behandlung des zerebralen Aspergilloms ist die chirurgische Resektion. Das Ziel des Eingriffs ist die möglichst vollständige Entfernung der Pilzmasse und der Abszesskapsel. Dies hat mehrere Vorteile:

  • Diagnosesicherung: Die Gewinnung von Gewebe für die histopathologische und mikrobiologische Untersuchung.

  • Massenreduktion: Die Entlastung des umliegenden Hirngewebes und die Reduktion des intrakraniellen Drucks.

  • Verbesserung der Medikamentenwirkung: Die Entfernung der nekrotischen Masse verbessert die Penetration der Antimykotika in das verbleibende infizierte Gewebe.

Eine reine Punktion des abgekapselten Aspergillominhalts führt häufig zu Rezidiven und zur Notwendigkeit eines weiteren offenen chirurgischen Eingriffs[^2].