Felsenbein

Zuletzt bearbeitet von Alaric Steinmetz am

Synonyme: Felsenbeinpyramide, Pars petrosa ossis temporalis, Pyramis, Petrosum

Das Felsenbein ist ein Teil des Os temporale und ist der härteste Knochen im Schädel und beinhaltet als wichtigste Struktur das Labyrinth.

Bildgebung

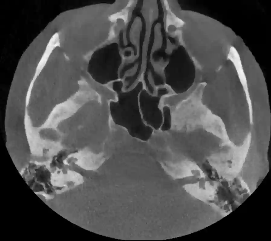
Axiales CT Bild des Felsenbeins
Axiales Schnittbild durch den Schädel auf Höhe des Felsenbeins.