Perineural cyst

Last edit by Alaric Steinmetz on

Synonyms: Tarlov cyst

A perineural cyst (Tarlov cyst) is a cyst filled with cerebrospinal fluid, most commonly occurring in the area of the spinal ganglia in the sacral region[^1] [^3].

Symptoms

The symptomatology of sacral Tarlov cysts can vary depending on the exact location and may include low lumbar back pain, coccygodynia, perianal pain, or radicular pain symptoms[^2].

Imaging

Imaging-wise, Tarlov cysts are best visualized on MRI. In a myelography, a delayed filling of contrast medium can occasionally be observed. Typically, Tarlov cysts are associated with signs of remodeling in the adjacent bone[^4].

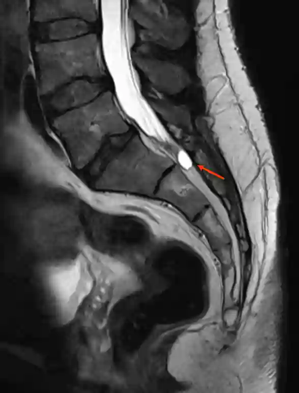
Tarlov Cyst T2 Sagittal MRI
Illustration of a Tarlov cyst (red arrow) in the sagittal T2 MRI image.
Tarlov cyst on MRI
Illustration of a right-sided Tarlov cyst (red arrow) in the axial T2 MRI image.
Bilateral sacral perineural cysts
Bilateral sacral perineural cysts on axial MRI in a T2 sequence.
Sacral perineural cyst
Visualization of a sacral perineural cyst in a sagittal T2 sequence in the sacral region.

Treatment

Asymptomatic Tarlov cysts do not require surgical intervention. In rare and very selected cases, surgical treatment may be indicated for symptomatic Tarlov cysts[^2].