Epiduralhämatom

Zuletzt bearbeitet von Alaric Steinmetz am

Synonyme: EDH

Ein Epiduralhämatom ist eine Blutung zwischen Knochen und Dura mater und tritt in den meisten Fällen als Folge eines Traumas oder im Rahmen einer postoperativen Nachblutung auf. Epiduralhämatom kommen am häufigsten intrakraniell vor, können jedoch ebenso im Spinalkanal auftreten. Dieser Artikel bezieht sich vor Allem auf intrakranielle Epiduralhämatome.

Ursachen

Die häufigste Ursache eines Epiduralhämatoms ist das Trauma. Dabei kommt es häufig zu einer Verletzung der Arteria menginea media ​​1 und einer folglichen Einblutung in den Epiduralraum. Postoperativ kann es ebenso zu einer neuen Blutung im Epiduralraum kommen, um dies zu verhindern sollte man während der Operation beim Verschluss der Kraniotomie ausreichend Durahochnähte anbringen um die Chancen einer Einblutung zu minimieren.

Diagnose

Der Goldstandard in der Diagnostik eines Epiduralhämatoms ist die CT-Bildgebung. Es reicht eine native Bildgebung zur Diagnostik aus. Bei hyperakuten Blutungen lässt sich in manchen Fällen ein Swirl Sign beobachten, welches noch nicht koaguliertes, folglich frisch ausgetretenes Blut, darstellt. Im MRT lässt sich ein Epiduralhämatom ebenso problemlos diagnostizieren, jedoch kommt die MR Bildgebung im Endeffekt deutlich seltener zum Einsatz, da in akuten Traumasituation ein CT im Normalfall schneller zur Verfügung steht. Nebenbefundlich zeigt sich häufig ein Frakturspalt in der Schädelkalotte direkt überhalb des Epiduralhämatoms liegend. Epiduralhämatome in der hinteren Schädelgrube erfordern besondere Aufmerksamkeit, da diese auf Grund der geringen Platzverhältnisse in der hinteren Schädelgrube besonders schnell dekompensieren können, zeigen jedoch bei rascher operativer Versorgung ein gutes postoperatives Ergebnis​2 .

Konservative Therapie

Je nach Ausprägung des Epiduralhämatoms und des klinischen Zustands des Patienten, kann ein Epiduralhämatom auch konservativ ohne chirurgische Intervention behandelt werden. Das koagulierte Blut im Epiduralraum verflüssigt sich und resorbiert sich mit der Zeit.

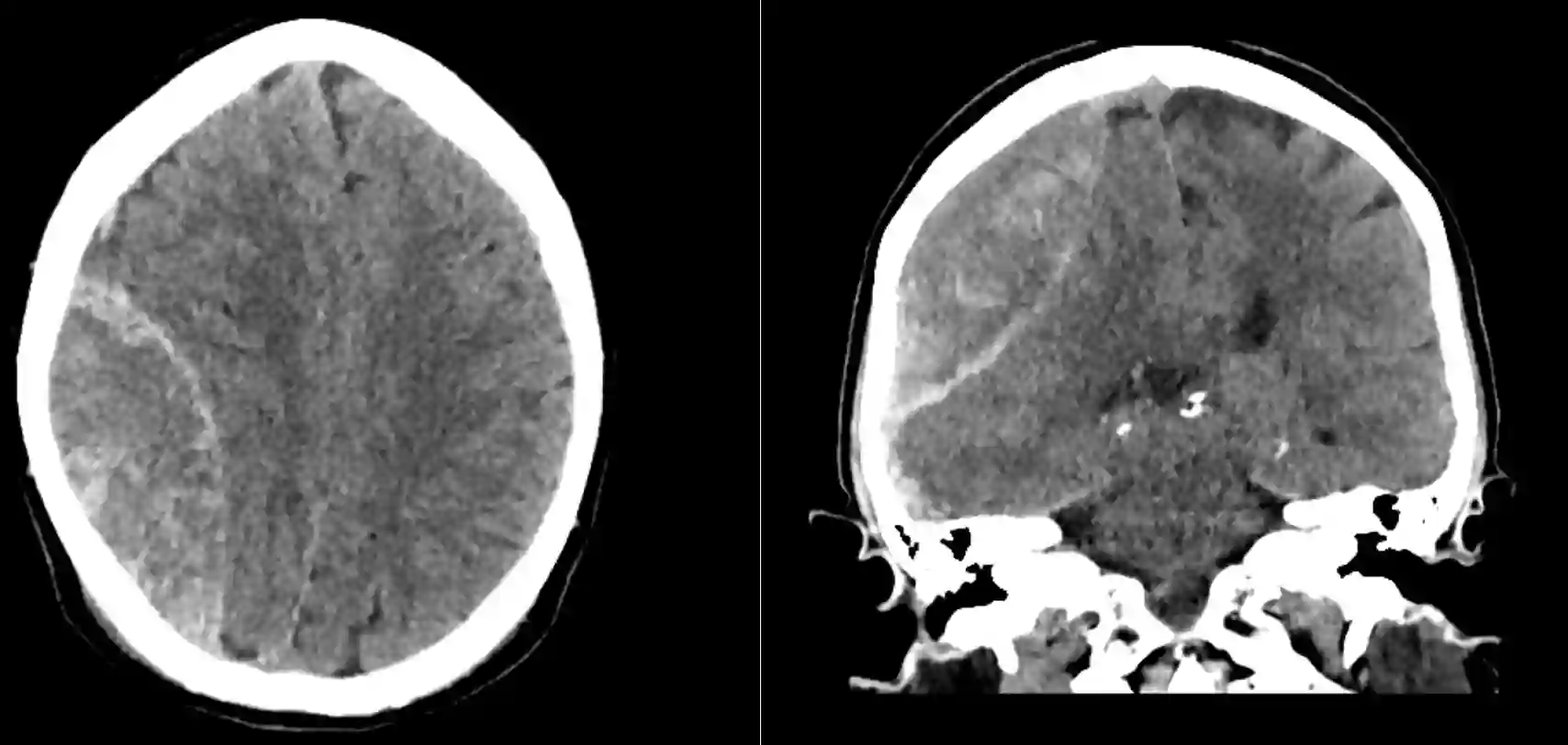
Konservativ behandeltes Epiduralhämatom.
CT Bildgebung eines Epiduralhämatoms frontal links, welches konservativ ohne operativen Eingriff behandelt wurde.

Operative Versorgung

Symptomatische Epiduralhämatome gelten in der Neurochirurgie als dringlicher Notfall und sollten als rasch wie möglich versorgt werden. Die Evakuierung des Hämatoms erfolgt über eine Kraniotomie, welche direkt über dem Hämatom geplant wird. Nach Durchführung der Kraniotomie kann man das Hämatom vorsichtig von der Dura mater entfernen. Eine Eröffnung der Dura mater ist nur in Fällen notwendig, wo sich bildgebend nicht klar zeigt ob das Hämatom ausschließlich epidural liegt, oder auch subdurale Anteile hat. Anschliessend erfolgt das Wiedereinsetzen des Knochendeckels und dessen Befestigung.

Epiduralhämatom im CT
CT-Bild eines Epiduralhämatoms, welches notfallmässig operiert werden musste.

Epiduralhämatom im CT
Darstellung eines großen rechtsseitigen Epiduralhämatoms, welches direkt im Anschluss an die Bildgebung operativ entlastet wurde.

Referenzen