Swirl Zeichen

Zuletzt bearbeitet von Alaric Steinmetz am

Synonyme: Swirl sign

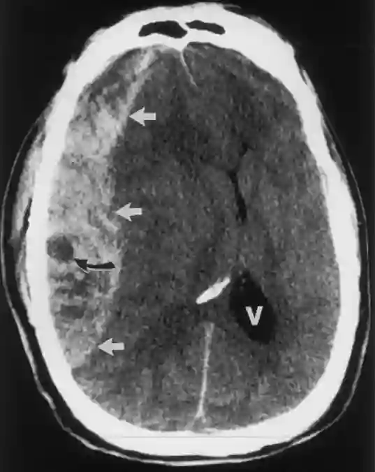
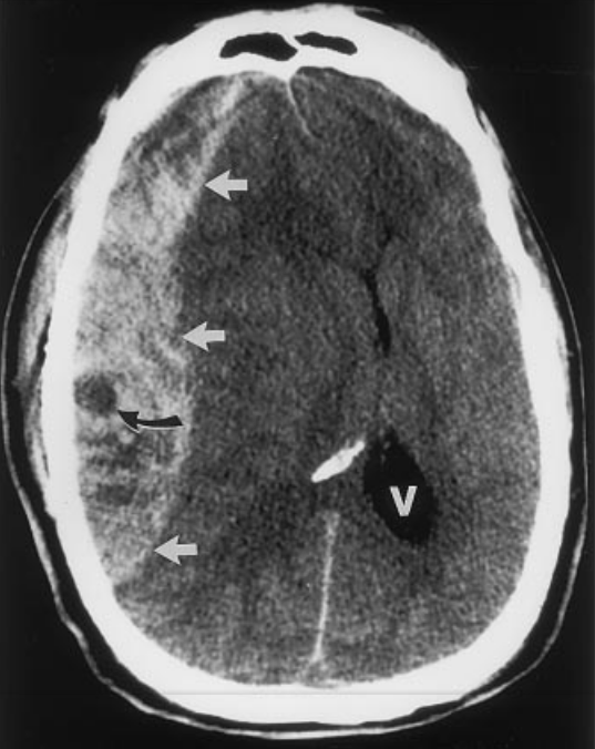
Das Swirl Sign ist ein neuroradiologisches Zeichen, welches bei akuten Blutungen in der CT Bildgebung gesehen werden kann1. Das bildgebende vorhandensein eines Swirl Sign ist hinweisend auf eine aktive Blutung korreliert mit noch nicht koaguliertem Blut bei einer extra-axialen Blutung2. Patienten bei welchen in der CT-Bildgebung ein Swirl Zeichen beobachtet werden kann und korreliert signifikant mit einer Zunahme des Hämatoms im weiteren Verlauf3.

Bildgebung

Swirl Sign CT
Axiale CT Bildgebung des Schädels einer hyperakuten Blutung (weiße Pfeile) mit Swirl Sign (schwarzer Pfeil).

Referenzen