Als Zygoma wird der Processus zygomaticus ossis temporalis bezeichnet, welcher eine wichtige anatomische Landmarke zur Planung einer Kraniotomie ist.
Anatomie
Das Zygoma ist ein langer, gebogener Knochenfortsatz des Os temporale, der mit dem Os zygomaticum artikuliert. Das Zygoma entspringt vom unteren Teil der Schläfenbeinschuppe. Er weist zunächst nach lateral, um dann nach frontal umzuschwenken. Am dünnen Oberrand des Zygomas setzt die Fascia temporalis an. Der untere Rand dient einigen Fasern des Musculus masseter als Ursprung.
Lokalisation
Das Zygoma kann im Regelfall durch Palpation getastet werden und befindet sich anterior des Meatus acusticus externus und etwa auf dessen Höhe.
Abbildung
Darstellung des Zygomas in roter Markierung am lateralen Modellschädel.
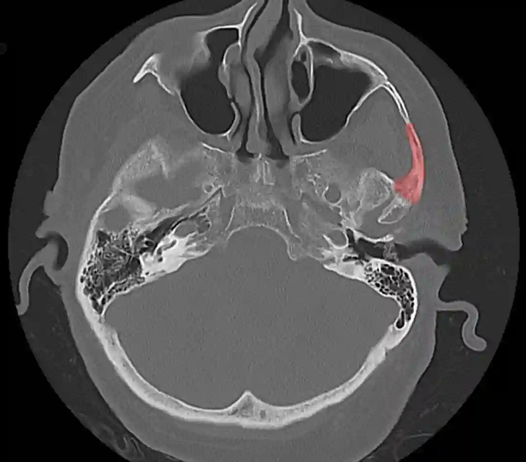
Bildgebung
Darstellung des Zygomas in einer axialen CT Bildgebung im Knochenfenster.
Zygoma
Darstellung des Zygomas in roter Markierung am lateralen Modellschädel.
Zygoma CT
Darstellung des Zygomas in einer axialen CT Bildgebung im Knochenfenster.