Sulcus centralis

Zuletzt bearbeitet von Alaric Steinmetz am

Synonyme: Central sulcus

Der Sulcus centralis liegt zwischen dem Gyrus precentralis und dem Gyrus postcentralis und grenzt den Parietallappen (Lobus parietalis) vom Frontallappen (Lobus frontalis) ab. Er gilt in der Neurochirurgie als besonders wichtige anatomische Landmarke, weil er in direktem Bezug zum Gyrus precentralis liegt.

Abbildung

Sulcus centralis
Abbildung des Sulcus centralis (blau markiert) in einer anatomischen Zeichnung von Sobotta (Figure 628).

Bildgebung

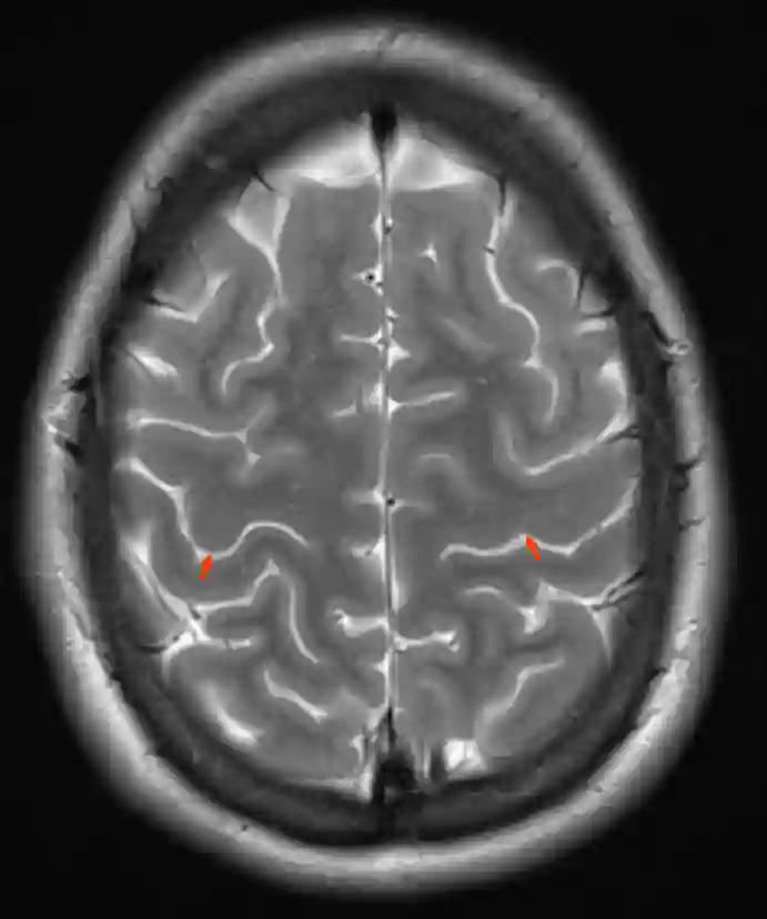
Sulcus centralis MRI
Darstellung des Sulcus centralis (roter Pfeil) in einem T2 gewichtetem axialen MRI Bild.

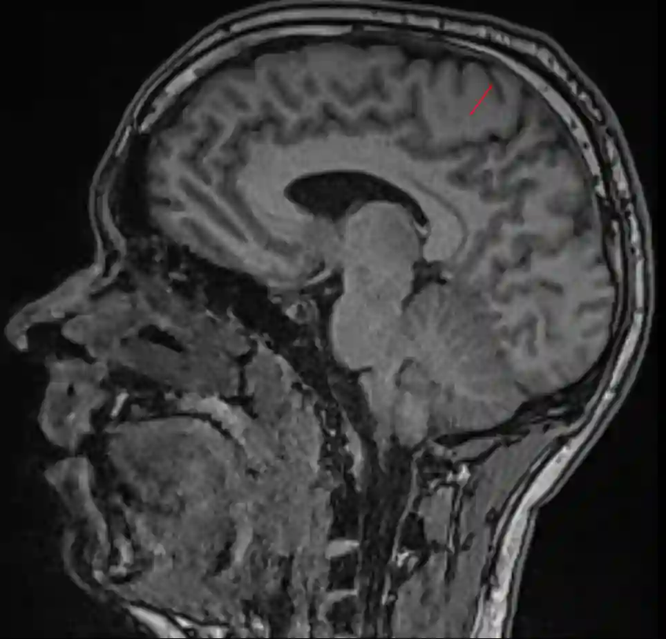
Sulcus centralis sagittal MRI
Sagittales MRI des Schädels mit Markierung des Sulcus centralis (roter Pfeil).

Identifikation am Schädel

Der Sulcus centralis befindet sich etwa 5cm posterior der Sutura coronalis.

Identifikation im MRI

Die korrekte Identifikation des Sulcus centralis auf der MRT Bildgebung hat eine wichtige Bedeutung zur Planung von chirurgischen Zugängen von Läsionen.

Axiales MRT

Im axialen MRT gibt es verschiedene Zeichen zur Identifikation des Sulcus centralis.

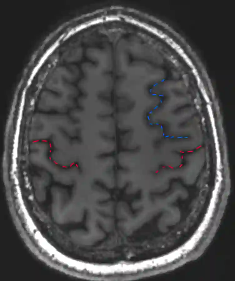
Bracket Zeichen zur Identifikation des Sulcus centralis
Axiales T1 MRT mit eingezeichnetem Bracket Sign in blau, welches den Sulcus marginalis darstellt. Das Bracket Sign stellt die Ausläufer des Sulcus cinguli dar, welcher als Ramus bzw. Sulcus marginalis bezeichnet wird. Direkt anterior des Bracket Zeichens befindet sich der Sulcus centralis (rot markiert).

L-Sign Sulcus centralis
Darstellung des L Zeichen (blau markiert) im axialen MRI

Sagittales MRT

Im sagittalen MRT Bild befindet sich der Sulcus centralis direkt anterior des Sulcus cinguli.

Sulcus cinguli und Sulcus centralis im MRT
Darstellung des Sulcus cinguli (blau) und des Sulcus centralis (rot) im sagittalen MRT Bild.