Der Gyrus postcentralis ist die auf dem Parietallappen des Großhirns hinter dem Sulcus centralis gelegene Hirnwindung.
Anatomie
Der Gyrus postcentralis weist eine somatotopische Gliederung auf.
Funktion
Im Gyrus postcentralis liegt der somatosensorische Kortex, in welchem das taktile Empfindungen des Körpers unmittelbar verarbeitet wird. Wie im Gyrus precentralis sind auch im Gyrus postcentralis einzelne Körperteile überproportional repräsentiert. Dies hängt unmittelbar mit der entsprechenden Rezeptorendichte in der Peripherie zusammen. Je feiner differenziert das Wahrnehmungsorgan in der Peripherie ist, desto größer ist sein ihm entsprechendes Feld im Gyrus postcentralis.
Schematische Abbildung der somatotopischen Gliederung des Gyrus postcentralis. Abbildung adaptiert von Wikimedia.
Bildgebung
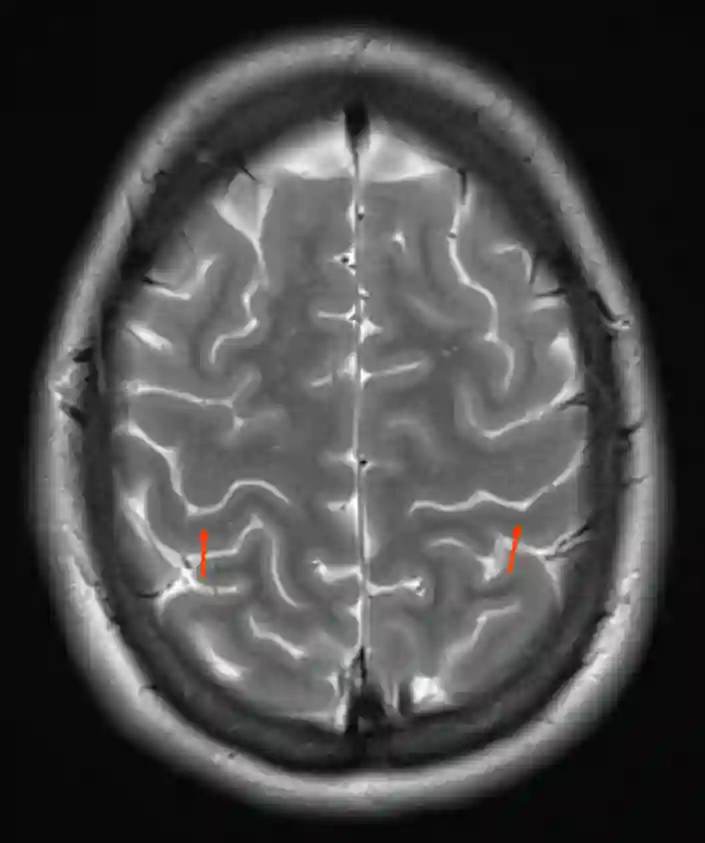
Darstellung des Gyrus postcentralis (roter Pfeil) in einem axialen T2 gewichtetem MRI Bild.
Ausfallsymptomatik
Eine Schädigung des Gyrus postcentralis hat in der kontralateralen Körperhälfte im betroffenen Areal eine Einschränkung der Empfindung von Berührung, Druck, Schmerz (am wenigsten beeinträchtigt), Temperatur, Propriozeption und einen Verlust der diskriminativen, fein lokalisierenden Wahrnehmung zur Folge1. Bei sehr kleinen Läsionen können auch nur einzelne dieser Funktionen beeinträchtigt sein, je nach Lokalisation der Läsion.
Referenzen
Trepel, Martin, and Erich Mayer-Fally. "Neuroanatomie." Struktur und Funktion 18.7 (2017): 30021-7. ↩↩↩↩
Gyrus postcentralis im MRI
Darstellung des Gyrus postcentralis (roter Pfeil) in einem axialen T2 gewichtetem MRI Bild.
Homunkulus Gyrus postcentralis
Schematische Abbildung der somatotopischen Gliederung des Gyrus postcentralis. Abbildung adaptiert von Wikimedia.