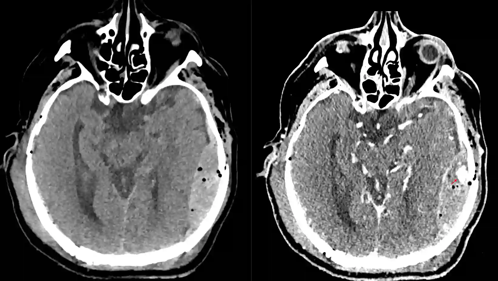
Spot Sign

Zuletzt bearbeitet von Alaric Steinmetz am

Synonyme: Spot Zeichen

Das Spot Sign ist ein radiologisches Zeichen bei intrazerebralen Blutungen in einer CT-Angiographie. Hierbei kommt es im Bereich der Blutung zum Austritt von Kontrastmittel aus dem Gefäß.

Interpretation

Das Vorhandensein eines Spot Signs in der Bildgebung vor einer Hämatomevakuation ist mit vemehrter intraoperativer Blutung, erhöhter postoperativer Nachblutung als auch mit größeren Resthämatombefunden nach einer chirurgischen Hämatomevakuation assoziiert[^1].

Abbildung

Spot Sign im Ct
Darstellung des Spot Signs (roter Pfeil) in einem CT bei einem Patient mit einem linksseitigen Epiduralhämatom. Linksseitig natives CT Bild und rechtsseitig ein CT nach Kontrastmittelgabe.