Als Siderophagen bezeichnet man aktivierte, gewebeständige Makrophagen, die Hämosiderin aus zerfallenen oder phagozytierten Erythrozyten enthalten.
Klinische Relevanz
In der Neurochirurgie spielen Siderophagen in der Liquordiagnostik bei Verdacht auf eine Subarachnoidalblutung eine diagnostische Rolle. Das Vorhandensein von Siderophagen im Liquor ist ein zuverlässiges Zeichen für eine stattgehabte Blutung im Subarachnoidalraum[^1].
Liquordiagnostik
Siderophagen lassen sich bei einer traumatischen oder aneurysmatischen Subarachnoidalblutung ab dem 4. Tag im Liquor nachweisen und sind bis zu 120 Tage insgesamt im Liquor nachweisbar[^1] [^2].
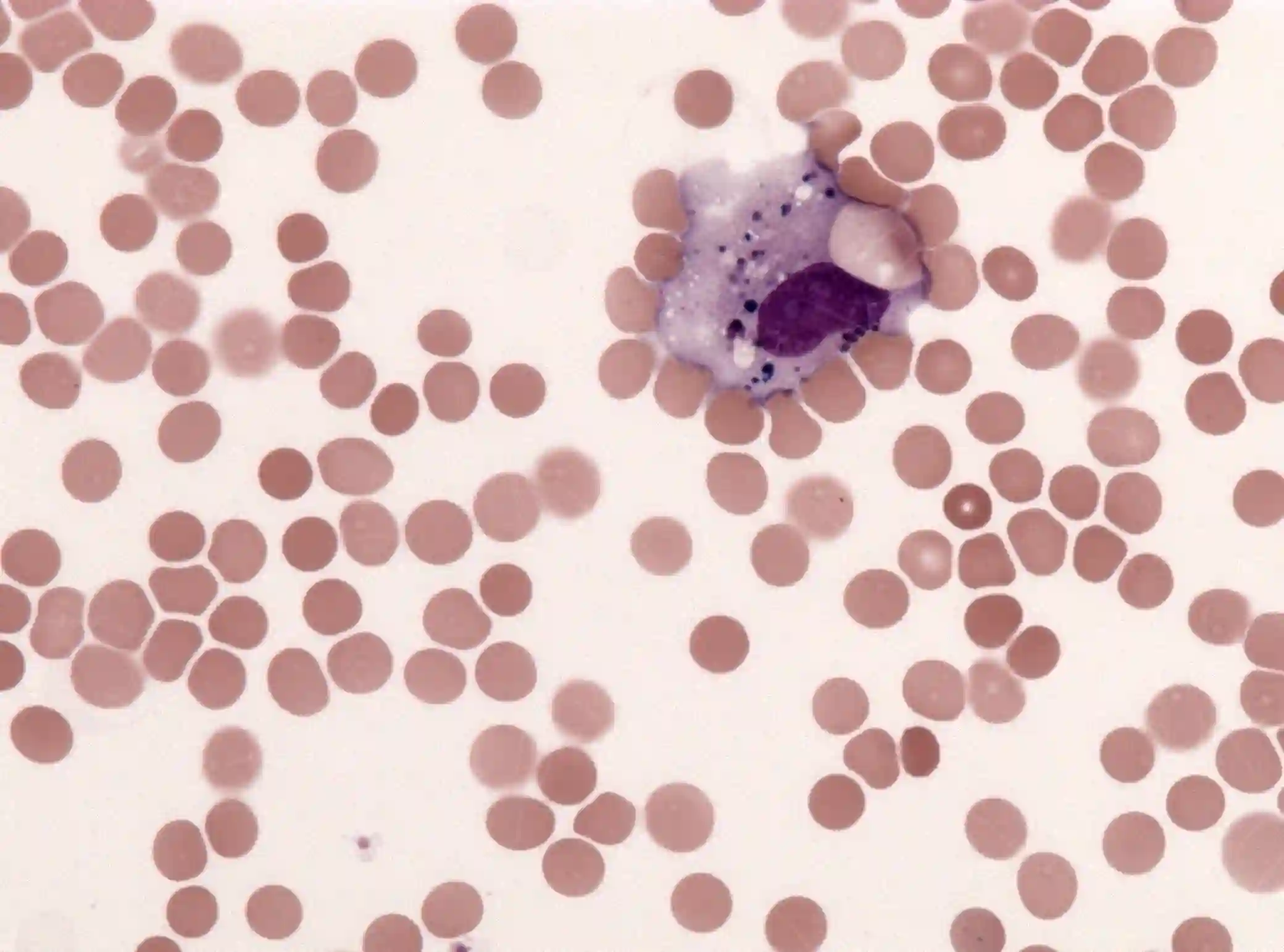
Liquorprobe, Pappenheim-Färbung mit Siderophagen und vielen Erythrozyten. Abbildung adaptiert von Wikimedia Commons.
Siderophagen im Liquor
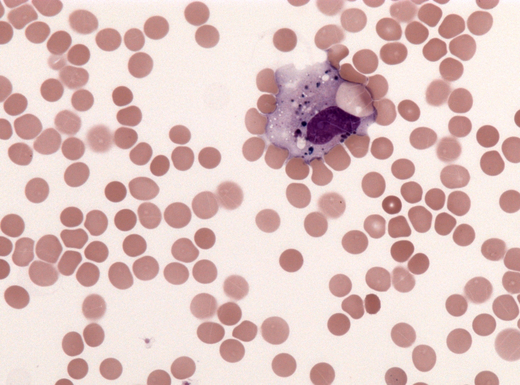
Liquorprobe, Pappenheim-Färbung mit Siderophagen und vielen Erythrozyten. Abbildung adaptiert von Wikimedia Commons.