Prolaktinom
Zuletzt bearbeitet von Alaric Steinmetz am
Synonyme: prolactinoma
ICD-10: D35.-
ICD-11: XH1QS0, 2F37.Y
Das Prolaktinom ist das häufigste sekretorische Hypophysenadenom und entsteht durch eine neoplastische Transformation der laktotropen Adenohypophysenzellen[^1]. Prolaktinome sind laborchemisch durch einen erhöhten Prolaktinspiegel gekennzeichnet.
Diagnostik
Die Diagnose eines Prolaktinoms wird auf der Grundlage eines anhaltenden Anstiegs des Serumspiegels von Prolaktin und des radiologischen Nachweises eines Hypophysenadenoms gestellt, nachdem andere Ursachen der Hyperprolaktinämie ausgeschlossen worden sind[^3]. Makroadenom sind typischerweise assoziiert mit Prolaktinwerten von mehr als 250 µg/L und können in manchen Fällen auch über 1000 µg/L erreichen [^3].
Therapie
Prolaktinome werden normalerweise medikamentös mit Dopamin-D2-Agonisten behandelt und benötigen keine chirurgische Intervention. In manchen Fällen wie beispielsweise Therapieversagen oder Medikamentenunverträglichkeit kann eine operative Entfernung indiziert sein.
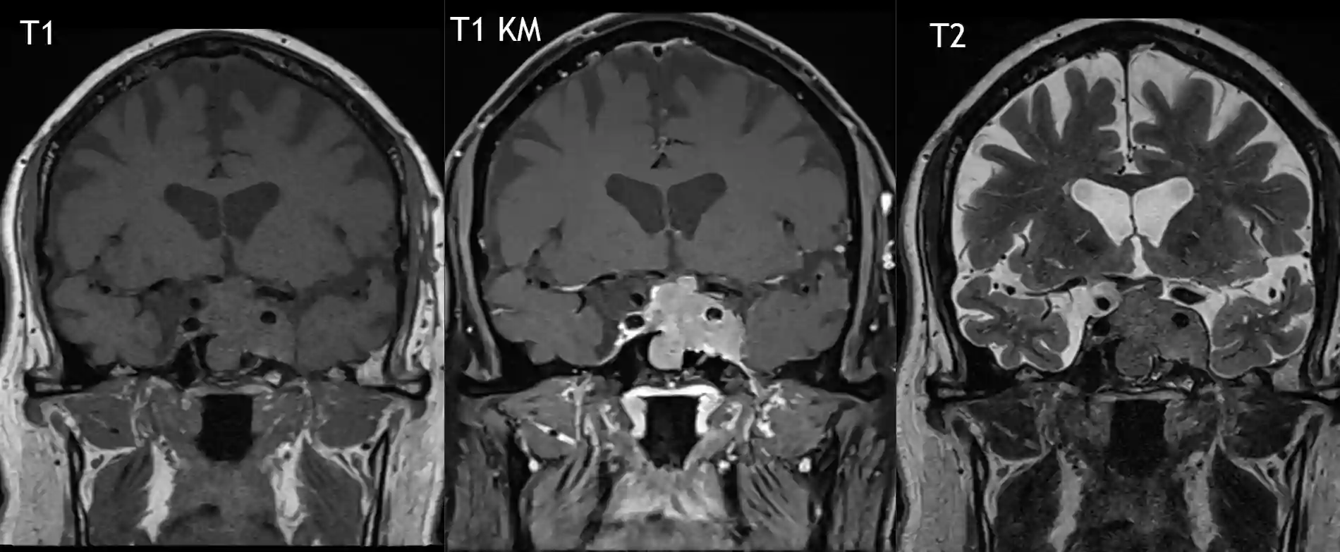
Bildgebung

Differentialdiagnostische Prolaktinerhöhung
Prolaktin kann aus anderen Ursachen erhöht sein, wie beispielsweise:
Schwangerschaft: In der Schwangerschaft kann der Prolaktinspiegel ca. 10-Fach erhöht sein[^2].
Medikamentös: Medikamente wie Metoclopramid, Phenothiazine, Butyrophenone oder Risperidon können die Prolaktinspiegel auf über 100 µg/L erhöhen[^2].
Stress: Physischer und psychischer Stress können die Sekretion von Prolaktin leicht erhöhen, jedoch selten über Werte von 40 µg/L [^2].
Kompression: Bei Makroadenomen kann es bedingt durch die Kompression des Hypophysenstiels zu einer geringen Erhöhung der Prolaktinwerte auf ca. 25-250 µg/L führen[^3]. Dieses Phänomen wird auch als Stalk-Effekt bezeichnet.