Osteoplastische Kraniotomie

Zuletzt bearbeitet von Alaric Steinmetz am

Bei einer osteoplastischen Kraniotomie handelt es sich um eine Kraniotomie, bei welcher das entfernte Knochenstück am Ende der Operation wieder eingesetzt wird.

Anwendung

Eine osteoplastische Kraniotomie ist die übliche Art und Weise, um Zugang zu beispielsweise einem Hirntumor oder einem Aneurysma zu erlangen.

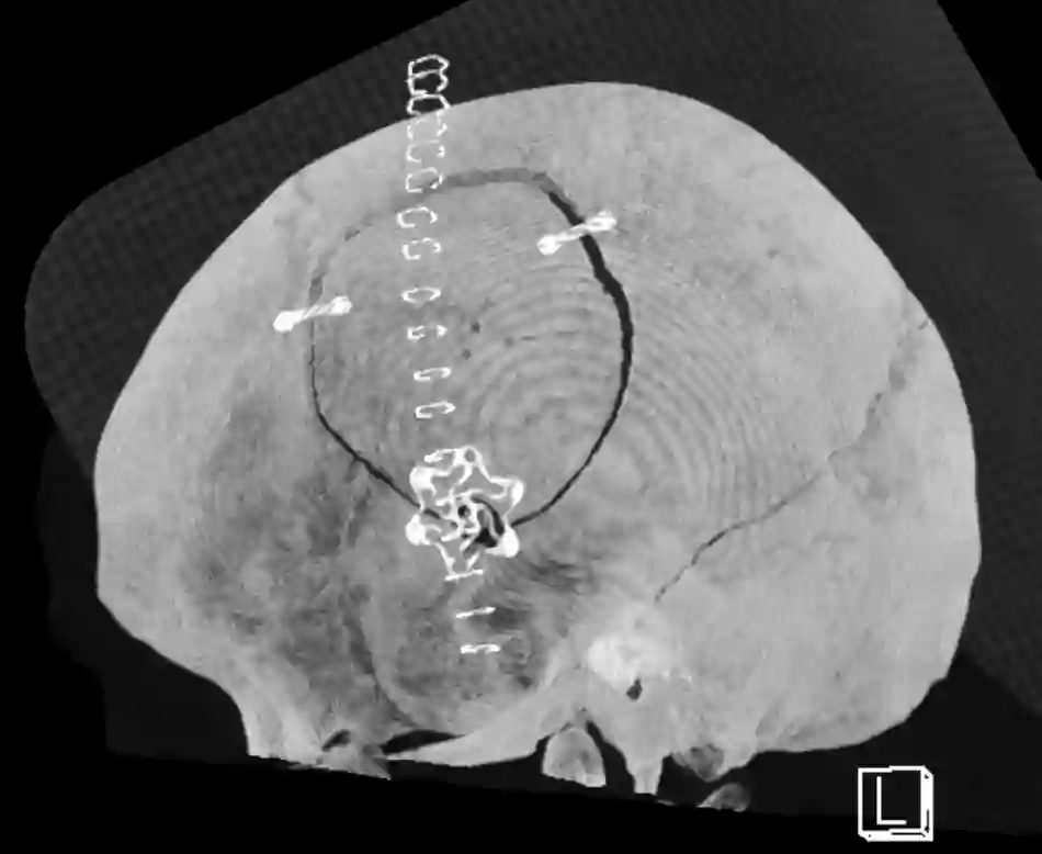
Bildgebung

Osteoplastische Kraniotomie
Darstellung einer osteoplastischen Kraniotomie in einem CT. Die Befestigung des Knochendeckels erfolgte bei diesem Patienten mit Titanplättchen.
CT Rekonstruktion einer osteoplastischen Kraniotomie
CT Rekonstruktion einer osteoplastischen Kraniotomie.