Oligodendrogliom (WHO Grad 2-3)
Zuletzt bearbeitet von Alaric Steinmetz am
Synonyme: Oligodendrogliom, IDH-mutiert und 1p/19q-kodeletiert, Oligodendroglioma, IDH-mutant, and 1p/19q-codeleted
ICD-10: C71.-
Das Oligodendrogliom wird als WHO Grad 2 oder 3 Hirntumor klassifiziert und ist ein langsam wachsender Tumor aus der Gruppe der Gliome. Charakteristisch für das Oligodendrogliom ist eine 1p/19q Kodeletion mit gleichzeitiger IDH Mutation.
WHO Klassifikation
Anhand der WHO Klassifikation von 2021 werden Oligodendrogliome in WHO Grad 2 und 3 eingteilt und als "Oligodendroglioma, IDH-mutant, and 1p/19q-codeleted" in der offiziellen Klassifikation bezeichnet1.
Epidemiologie
Die Inzident bei Oligodendrogliomen beträgt 0,28 pro 100000 für die Altersgruppe von 15-39 Jahren und 0,31 pro 100000 für die Altersgruppe über 40 Jahre2. Oligodendrogliome machen lediglich 1% aller primär hirneignen Tumore aus3 und sind in über 50% der Fälle im Frontallappen lokalisiert4.
Symptome
| Symptom | Häufigkeit (%)5 |
|---|---|
| Krampfanfälle | 57 % |
| Kopfschmerzen | 22 % |
| Wesensveränderungen | 10 % |
| Schwindel/Erbrechen | 9 % |
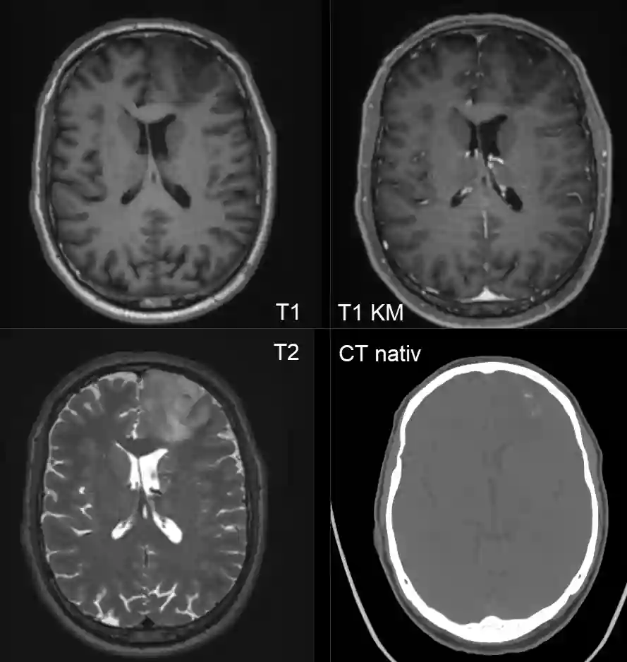
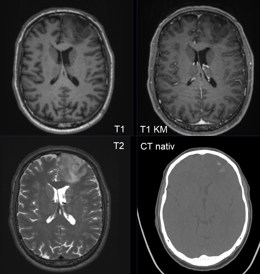
Bildgebung
In 90% können bei Oligodendrogliome in einer CT-Untersuchung Kalzifizierungen im Tumor gesehen werden6. Im MRI zeigt sich ein Oligodendrogliom im Regelfall hypointens in der T1 Sequenz und hyperintens in der T2 Sequenz. Eine Kontrastmittelaufnahme besteht in weniger als 20% der Fälle7.
Pathologie
- Das Vorhandensein der 1p/19q Kodeletion unterscheidet das Oligodendrogliom vom IDH mutierten Astrozytom.
- Beim Oligodendrogliom, IDH-mutiert und 1p/19q-kodeletiert sind folgende Gene/Molekulare Eigenschaften verändert: IDH1, IDH2, 1p/19q, TERT promoter, CIC, FUBP1, NOTCH18.
- Die Differenzierung zwischen einem Oligodendrogliom WHO Grad 2 und 3 erfolgt anhand dem Vorhandensein oder der Absenz einer histopathologischen Anaplasie9.
Richtlinien zur adjuvanten Therapie
WHO Grad 2
Patients with IDH-mutant and 1p/19q-codeleted oligodendrogliomas, WHO grade 2 requiring further treatment should be treated with radiotherapy followed by PCV polychemotherapy. C: III; L: B10.
WHO Grad 3
Patients with IDH-mutant and 1p/19q-codeleted oligodendrogliomas, WHO grade 3 should be treated with radiotherapy followed by PCV polychemotherapy (EORTC 26951, RTOG 9402). C: II; L: B11.
Überlebenszeit
Die mediane Überlebenszeit bei einem Oligodendrogliom mit einer IDH Mutation als auch einer 1p/19q Deletion beträgt 8 Jahre12.
Referenzen
Louis, David N., et al. "The 2021 WHO classification of tumors of the central nervous system: a summary." Neuro-oncology 23.8 (2021): 1231-1251. ↩ ↩ ↩ ↩ ↩ ↩ ↩ ↩ ↩ ↩ ↩ ↩
Ostrom QT, Gittleman H, Liao P, et al. CBTRUS Statistical Report: Primary brain and other central nervous system tumors diagnosed in the United States in 2010-2014. Neuro Oncol. 2017;19:v1-v88. ↩ ↩ ↩ ↩ ↩ ↩ ↩ ↩
Handbook of Neurosurgery. Greenberg M, ed. 9th Edition. Thieme; 2019 ↩ ↩ ↩ ↩ ↩ ↩ ↩ ↩ ↩ ↩ ↩ ↩
Mork SJ, Lindegaard KF, Halvorsen TB, et al. Oligodendroglioma: Incidence and Biological Behavior in a Defined Population. J Neurosurg. 1985;63:881-889. ↩ ↩ ↩ ↩
Weller, Michael, et al. "EANO guidelines on the diagnosis and treatment of diffuse gliomas of adulthood." Nature reviews Clinical oncology 18.3 (2021): 170-186. ↩ ↩ ↩ ↩ ↩ ↩ ↩ ↩
Cancer Genome Atlas Research Network , Brat DJ, Verhaak RG, et al. Comprehensive, Integrative Genomic Analysis of Diffuse Lower-Grade Gliomas. N Engl J Med. 2015;372:2481-2498. ↩ ↩ ↩ ↩