Kleinhirninfarkt

Zuletzt bearbeitet von Alaric Steinmetz am

Synonyme: cerebellar stroke, cerebellar infarction

Ein ischämischer Kleinhirninfarkt kann durch ein Verschluss der hauptversorgenden Gefäßen des Cerebellum entstehen.

Epidemiologie

Der Kleinhirninfarkt kommt mit ca. 2,3% aller Hirninfarkte1 relativ gesehen im Vergleich zu supratentoriellen Infarkten selten vor.

Bildgebung

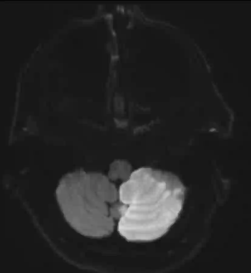
Linksseitiger PICA Infarkt im Kleinhirn im axialen MRI Bild.
Darstellung eines PICA Infarkts auf der linken Seite in einem axialen MRI Bild.

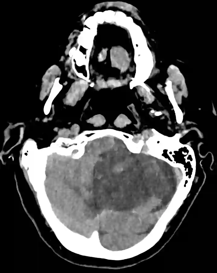
Linksseitiger PICA Infarkt im axialen CT Bild
Axiale Darstellung eines PICA Infarkts im CT.

Chirurgische Therapie

Ausgedehnte Kleinhirninfarkte können, üblicherweise 12 - 96 Stunden nach Infarktbeginn, zu gefährlichen Schwellungen mit Verlegung des Liquorabflusses und Kompression des Hirnstamms führen. Sollte im Rahmen der Schwellung eine neurologische Verschlechtertung mit Vigilanzabfall auftreten, kann eine chirurgische Entlastung indiziert sein als auch Einlage einer externen Ventrikeldrainage. Eine Dekompression der hinteren Schädelgrube kann zusätzlichen Platz schaffen um den weiteren Liquorabfluss zu gewährleisten und eine Hirnstammkompression zu entlasten23.

Prognose nach chirurgischer Therapie

Patienten bei welchen auf Grund eines cerebellären Infarkts eine suboccipitale dekompressive Kraniektomie durchgeführt wurde hatten in 28% einen ungünstiges Outcome und eine Mortalität von 19,9% in einer Meta-Analyse aus dem Jahr 20184

Referenzen



    1. Tohgi, Hideo, et al. "Cerebellar infarction. Clinical and neuroimaging analysis in 293 patients. The Tohoku Cerebellar Infarction Study Group." Stroke 24.11 (1993): 1697-1701.    

    2. Pfefferkorn, Thomas, et al. "Long-term outcome after suboccipital decompressive craniectomy for malignant cerebellar infarction." Stroke 40.9 (2009): 3045-3050.    

    3. Chen, Han-Jung, Tao-Chen Lee, and Chi-Peng Wei. "Treatment of cerebellar infarction by decompressive suboccipital craniectomy." Stroke 23.7 (1992): 957-961.    

    4. Ayling, Oliver GS, et al. "Suboccipital decompressive craniectomy for cerebellar infarction: a systematic review and meta-analysis." World Neurosurgery 110 (2018): 450-459.