Homer-Wright Rosette

Zuletzt bearbeitet von Alaric Steinmetz am

Homer-Wright Rosetten können in verschiedenen Tumore beobachtet werden. Es handelt sich um eine rosettenförmige Anordnung von Zellen mit einem zentralen Lumen, welches ein Mesh an Faserreichem Neuropil aufweist[^1].

Abbildung

Homer Wright Rosette
Schematische Darstellung einer Homer Wright Rosette.
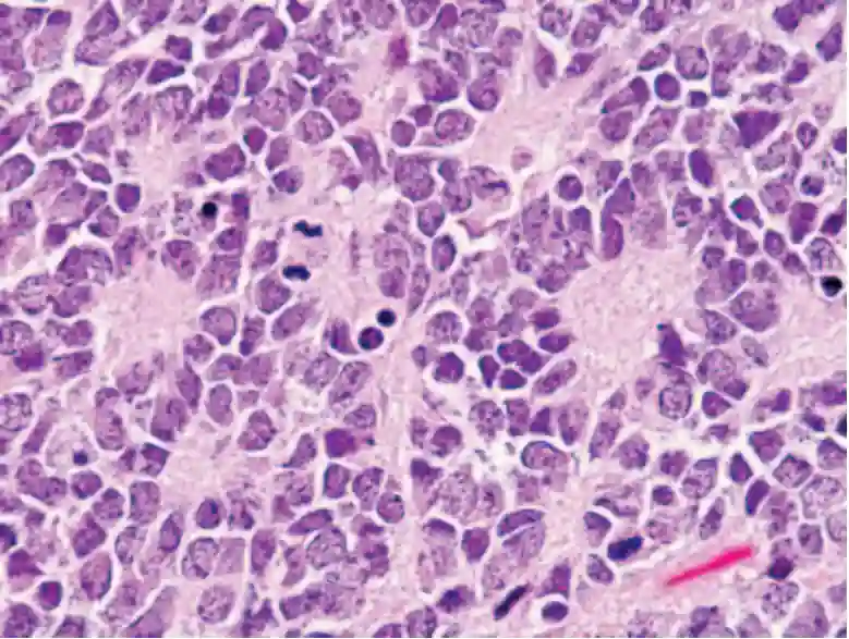
Histopathologie von Homer-Wright Rosetten
Multiple Homer-Wright Rosetten bei einem Patienten mit einem PNET. HE Färbung bei einer Vergrößerung von x400. Abbildung adaptiert von Wippold et al. 2006.

Assoziierte Tumore

Das Vorhandensein von Homer-Wright Rosetten wird mit folgenden Tumoren assoziiert[^1]: