Duret Blutung

Zuletzt bearbeitet von Alaric Steinmetz am

Synonyme: Duret hemorrhage

Unter einer Duret Blutung versteht man kleinere punktförmige Blutungen im Hirnstamm und im Pons in einer CT-Bildgebung, die sekundär meist im Rahmen eines Traumas entstehen.

Historisch

Initial wurden diese Hirnstammblutungen bei Hunden mit erhöhtem Hirndruck von Henri Duret nachgewiesen, welcher für die Namensgebung verantwortlich war1.

Pathophysiologie

Pathophysiologisch muss zwischen einer primären Hirnstammblutung und einer sekundären Einblutung, wie einer Duret Blutung unterschieden werden, welche am ehesten aufgrund einer transtentoriellen Herniation gegenüber dem Hirnstamm entsteht2.

Lokalisation

Duret Blutungen treten üblicherweise in der Mittellinie, paramedian und in den ventralen Regionen des Tegmentum, der oberen Pons und des Mesencephalons3 auf. Sind solche Blutungen bereits im CT initial nach dem Trauma sichtbar, gelten sie als prognostisch ungünstig für den weiteren Verlauf, einzelnen Fallberichten zufolge sind auch selten funktionell gute Erholungen beschrieben worden4.

Bildgebung

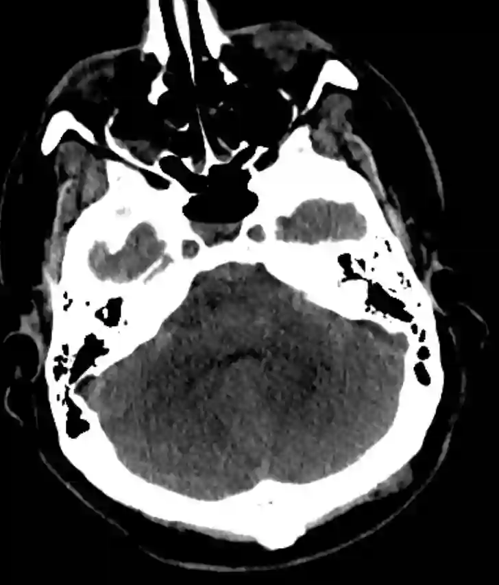
Duret Blutung im CT
Axiales CT Bild mit einer kleinvolumigen Duret Blutung nach Schädelhirntrauma.

Referenzen



    1. Alexander Jr, Eben, Jack Kushner, and Eric G. Six. "Brainstem hemorrhages and increased intracranial pressure: from duret to computed tomography." Surgical neurology 17.2 (1982): 107-110.    

    2. Gogia, Bhanu, and Anish Bhardwaj. "Duret Hemorrhages." (2020).