Corpus callosum Winkel

Zuletzt bearbeitet von Alaric Steinmetz am

Synonyme: CCW, callosal angle

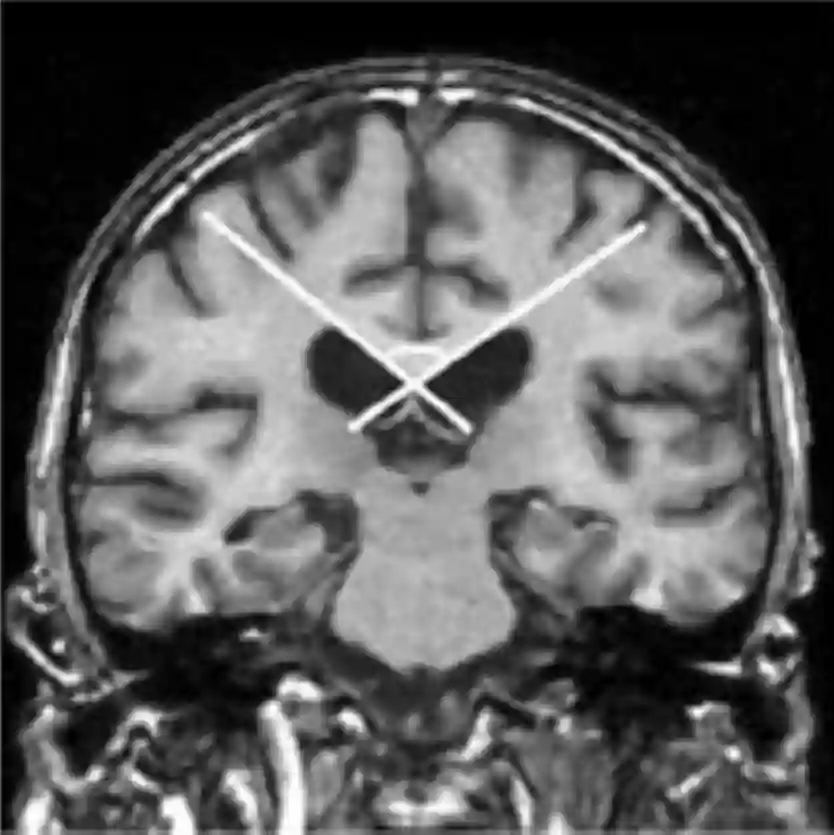
Der Corpus callosum Winkel ist der Winkel zwischen den medialen Wänden des Seitenventrikels in einer koronaren Bildgebung.

Messung

Eine korrekte Messung des Corpus callosum Winkel wird in einer echten koronaren Schicht durchgeführt, welche an der Commissura posterior zentriert ist und orthogonal zur AC-PC Linie und Fissura longitudinalis cerebri ausgerichtet ist. Auf dieser Schichtebene wird dann der Winkel zwischen der medialen Wand des Seitenventrikels gemessen[^2].

Klinische Relevanz

Der Corpus callosum Winkel kann als Hilfe zur Diagnose eines Normaldruckhydrocephalus verwendet werden. Normalerweise beträgt dieser Winkel 100–120 Grad, in Patienten mit einem Normaldruckhydrocephalus ist dieser Winkel abgeflacht und beträgt typischerweise 50–80 Grad [^1].

Bildgebung

Corpus callosum Winkel MRI
Berechnung des Corpus callosum Winkels im coronaren MRI Bild. Abbildung adaptiert aus Ishii K. et al.