Wachsende Schädelfrakturen, welche auch als Grow skull fractures in der Literatur bezeichnet werden, sind eine seltene Komplikation nach einem Schädelhirntrauma bei Säuglingen und Kleinkindern.
Epidemiologie
Wachsende Schädelfrakturen treten fast ausschließlich bei Kindern unter drei Jahren auf[^1].
Ätiologie
Bei einer wachsenden Schädelfraktur handelt es sich um eine Folge von Schädelkalottenfrakturen, welche im Durchschnitt etwa 14 Monate nach dem initialen Schädelhirntrauma diagnostiziert wird[^2]. Hierbei kommt es initial unterhalb der Fraktur zu einer Beschädigung der Dura mater und durch den positiven Innendruck wird die Dura in den Frakturspalt hineingedrängt. Somit wird die Verknöcherung verhindert und die Knochenfrakturteile werden auseinander gedrückt. Der Frakturspalt bleibt somit offen und verbreitert sich und es besteht die Gefahr eines Hirnprolaps.
Lokalisation
Die häufigste Lokalisation für eine wachsende Schädelfraktur ist parietal und frontoparietal, welche zusammen etwa 56 % dieser Frakturen ausmacht[^1].
Bildgebung
Der Goldstandard zur Diagnostik von wachsenden Schädelfrakturen ist die MRT Bildgebung.
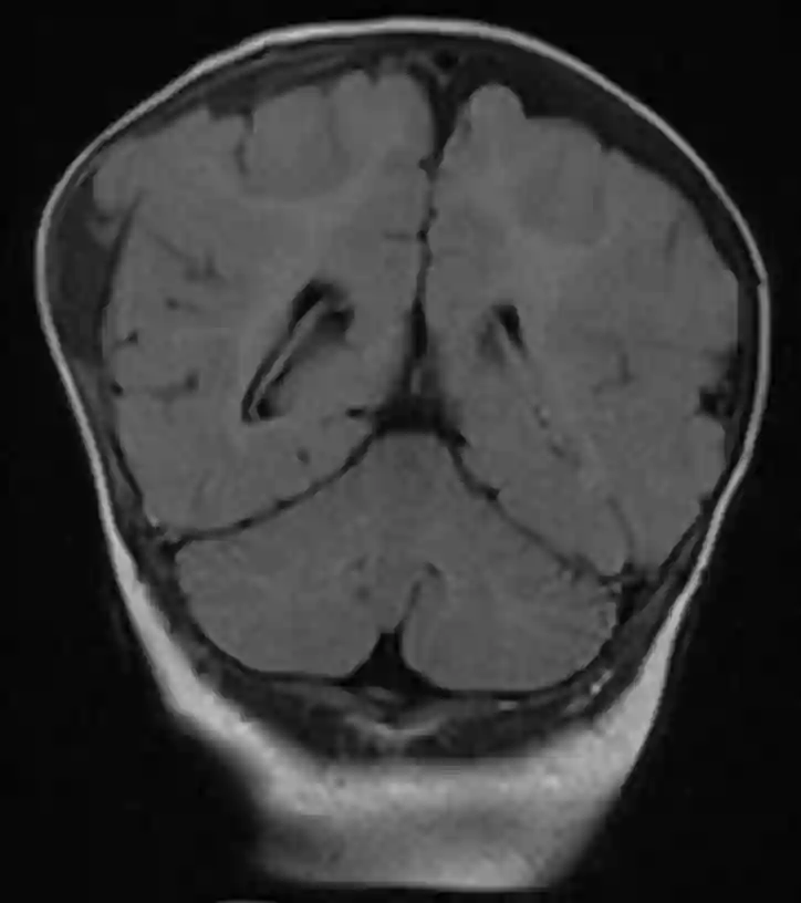
T2 Sequenz im MRI eines Kind mit einer wachsenden Schädelfraktur nach einem Trauma.MRI eines Kind mit einer wachsenden Schädelfraktur nach einem Trauma.
T2 MRI Sequenz einer wachsenden Schädelfraktur, auch bekannt als Growing skull fracture
T2 Sequenz im MRI eines Kind mit einer wachsenden Schädelfraktur nach einem Trauma.
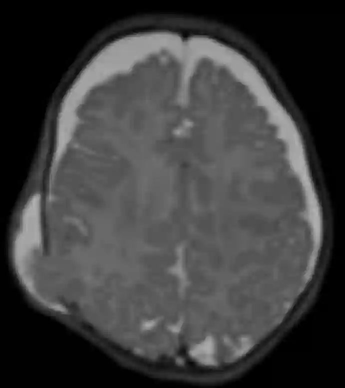
MRI einer wachsenden Schädelfraktur, auch bekannt als Growing skull fracture
MRI eines Kind mit einer wachsenden Schädelfraktur nach einem Trauma.