Ventrikulitis

Zuletzt bearbeitet von Alaric Steinmetz am

Eine Ventrikulitis bezeichnet eine Entzündung des Ventrikelsystems. Der Nachweis kann über eine Liquorentnahme einer im Ventrikelsystem angebrachten externen Ventrikeldrainage erfolgen oder mittels einer Lumbalpunktion.

Diagnostik

Eine MRI oder CT Bildgebung kann Hinweise auf eine Ventrikulitis geben. Ein ependymales Enhancement im CT ist suggestiv für eine Ventrikulitis1. Der definitive Nachweis erfolgt jedoch über den Liquor. Bei einer Ventrikulitis im Rahmen eines neurochirurgischen Eingriffs lassen sich Leukozyten, Glucose und Protein im Liquor nur bedingt beurteilen, da neurochirurgische Eingriffe als auch intrakranielle Blutungen zu Abnormalitäten in diesen Parametern führen kann2.

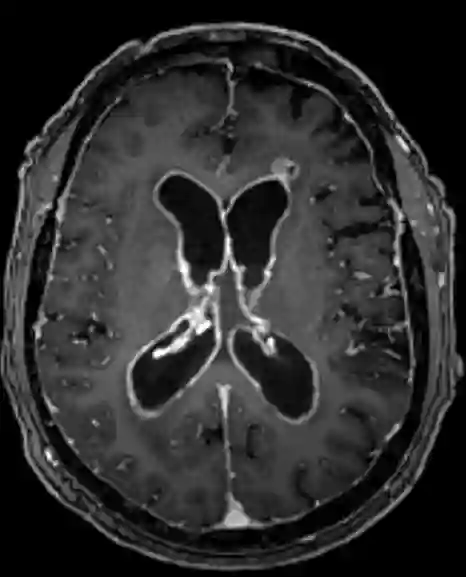
Ventrikulitis MRT
Axiale T1 MRT Sequenz mit Kontrastmittel eines Patienten mit einer ausgeprägten Ventrikulitis.

Behandlung

Die antibiotische Behandlung richtet sich je nach nachgewiesenem Erreger.

Referenzen



    1. Skull, Spine, and Post-Surgical Infections. In: Greenberg M, ed. Handbook of Neurosurgery. 9th Edition. Thieme; 2019.