Tentorium cerebelli

Zuletzt bearbeitet von Alaric Steinmetz am

Synonyme: Tentorium, Kleinhirnzelt

Das Tentorium cerebelli ist eine querverlaufende Hirnhautstruktur zwischen dem Okzipitallappen des Großhirns im supratentoriellen Raum und dem Kleinhirn im infratentoriellen Raum.

Anatomie

Das Tentorium cerebelli spannt sich zeltartig über das in der hinteren Schädelgrube liegende Kleinhirn. Es ist entlang dem Sulcus transversus ossis occipitalis und an der oberen Kante des Felsenbeins befestigt und lässt anterior eine weite Öffnung für den Durchtritt des Hirnstamms frei. An der Unterseite des Tentoriums und entlang der Crista occipitalis springt die Falx cerebelli in die hintere Schädelgrube vor[^1].

Abbildung

Tentorium cerebelli
Anatomische Zeichnung des Tentoriums cerebelli adaptiert von Grays Anatomy Abbildung 569.
Tentorium cerebelli
Anatomische Zeichnung des Tentorium cerebelli von lateral. Abbidung adaptiert von Grays Anatomy Abbildung 765.

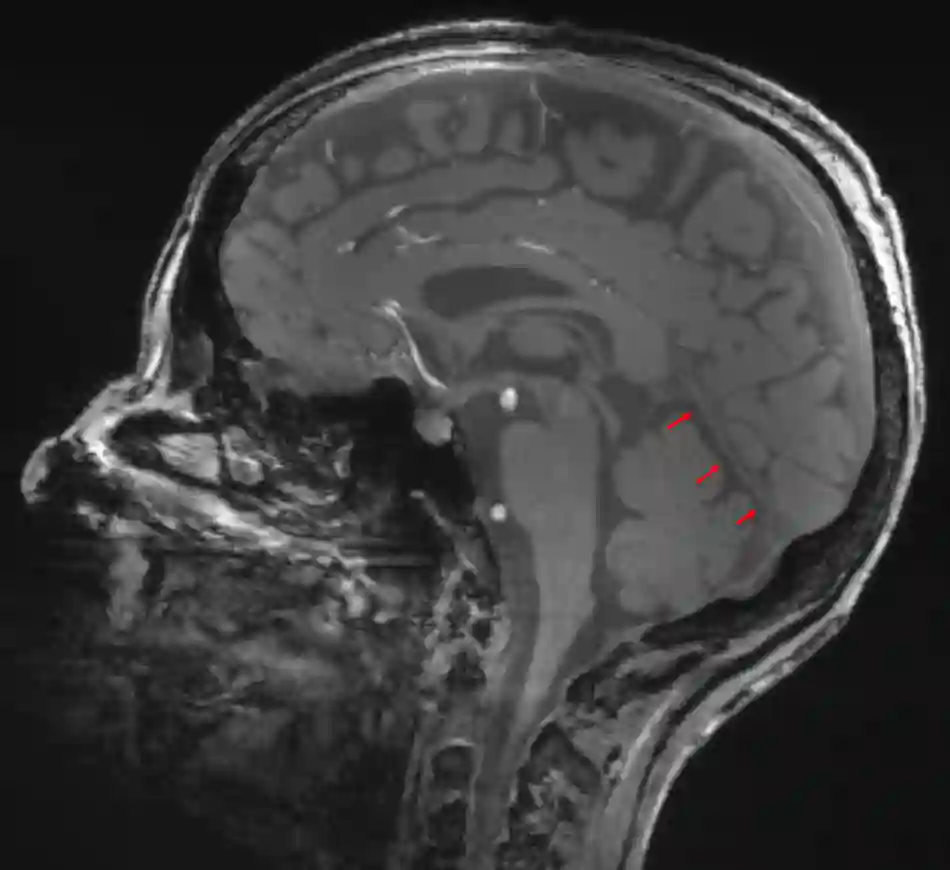
Bildgebung

Tentorium cerebelli im sagittalen MRT
Das Tentorium cerebelli im Anschnitt auf einem sagittalen MRT Bild.