Traumatische Subarachnoidalblutung

Zuletzt bearbeitet von Alaric Steinmetz am

Synonyme: tSAB

Im Gegensatz zu einer aneurysmatischen Subarachnoidalblutung (SAB) zeigen sich traumatische SABs meist unkompliziert im Verlauf und entstehen durch ein Trauma.

Behandlung

Isolierte traumatische Subarachnoidalblutungen erfordern im Normalfall keine akute chirurgische Intervention. Im Verlauf kann, kann sich ein posttraumatischer Hydrocephalus entwickeln1 2.

Bildgebung

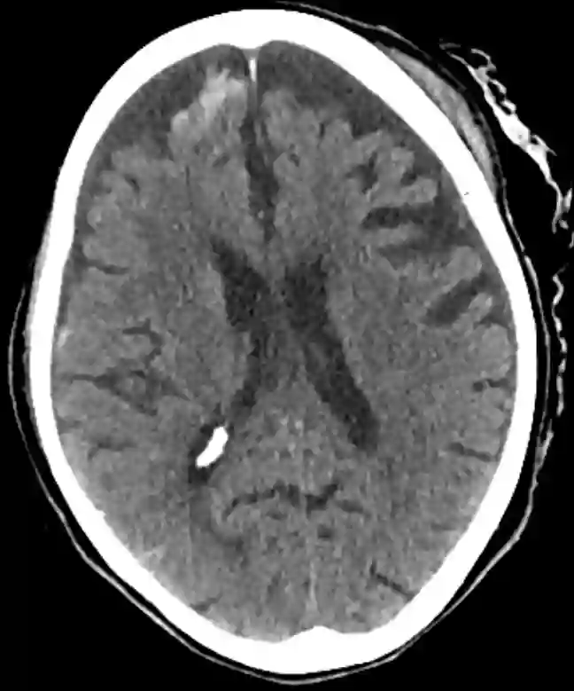
Traumatische Subarachnoidalblutung im CT
Traumatische Subarachnoidalblutung frontal rechts im CT.

Referenzen