Spinal Longitudinal Extradural Collection (SLEC)

Zuletzt bearbeitet von am

Als Spinal Longitudinal Extradural Collection (SLEC) bezeichnet man eine spinale extradurale Kollektion von Liquor, welche sich als Doppelkontur der Dura darstellen kann[^1].

Diagnostik

Der Goldstandard in der Diagnostik von einer Spinal Longitudinal Extradural Collection (SLEC) ist die spinale MR-Bildebung.

Bildgebung

SLEC T2 MRI
Darstellung einer duralen Doppelkontur (SLEC), markiert mit roten Pfeilen in einem sagittalen T2 MRI Bild der thorakalen Wirbelsäule.
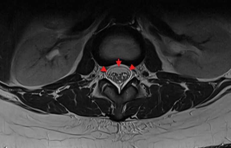
Duradoppelkontur axiales MRi
Darstellung einer duralen Doppelkontur (SLEC), markiert mit roten Pfeilen in einem axialen T2 MRI Bild der thorakalen Wirbelsäule.