Das Septum pellucidum ist eine dünne Membran, die als Scheidewand zwischen den Vorderhörnern der beiden Seitenventrikeln verläuft.
Anatomie
Das Septum pellucidum besteht aus zwei dünnen Blättern, die sich in ihrer kraniokaudalen Ausdehnung zwischen der Unterseite des Corpus callosum und den Crura fornicis aufspannen. Sie umschließen in ihrem Inneren einen liquorgefüllten Hohlraum, das Cavum septi pellucidi. Auf der ventrikulären Seite befindet sich Ependym auf dem Septum pellucidum[^1]. Ebenso sind Gliazellen als auch vereinzelte Neurone im Septum pellucidum zu finden[^1]. Das Septum pellucidum hat eine durchschnittliche Breite von 1,5 - 3 mm[^1].
Bildgebung
Septum pellucidum im axialen MRI (T1 Sequenz mit Kontrastmittel).Das Septum pellucidum im coronarem MRI Schnitt (T1 Sequenz mit Kontrastmittel).
Abbildung
Anatomie des eröffnenten Seitenventrikels. Abbildung adaptiert von Rhoton et al.
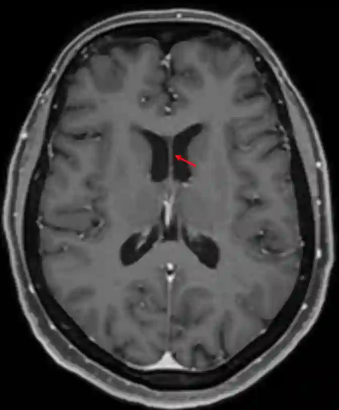
Septum pellucidum im MRI
Septum pellucidum im axialen MRI (T1 Sequenz mit Kontrastmittel).
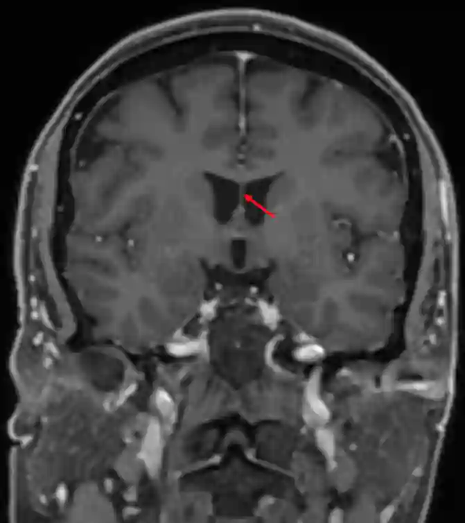
Septum pellucidum im MRI
Das Septum pellucidum im coronarem MRI Schnitt (T1 Sequenz mit Kontrastmittel).
Anatomie des Seitenventrikels
Anatomie des eröffnenten Seitenventrikels. Abbildung adaptiert von Rhoton et al.