Rückenmarkstimulation (SCS)

Zuletzt bearbeitet von Alaric Steinmetz am

Synonyme: SCS, Rückenmarkstimulation

Die Rückenmarkstimulation (Spinal Cord Stimulation, SCS) ist ein invasives Verfahren zum Schmerzmanagement. Die Hauptindikationen für eine Rückenmarkstimulation sind das Failed Back Surgery Syndrome und CRPS.

Effektivität

In einer retrospektiven Studie von 410 Patienten mit einer Rückenmarkstimulation für diverse Ursachen konnte eine Effektivität in 74% der Patienten in einem 96 Monat Follow-up gezeigt werden1

Stabelektrode

Stabelektrode im Röntgen
Darstellung von zwei Stabelektroden zur Rückenmarksstimulation im ap Röntgenbild.

Stimwave Freedom-8A spinal cord stimulation (SCS)
Röntgenbild eines implantierten Wireless Stimwave Freedom-8A spinal cord stimulation (SCS) Systems.

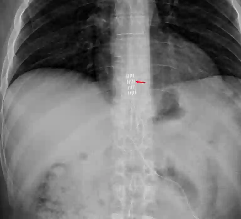
Plattenelektrode

Abbott Penta Plattenelektrode
Darstellung einer Abbott Penta Plattenelektrode im ap Röntgenbild auf Höhe der Brustwirbelsäule.

Abbott Penta Plattenelektrode laterales Röntgenbild
Darstellung einer Abbott Penta Plattenelektrode im lateralen Röntgenbild auf Höhe der Brustwirbelsäule.

Komplikationen

Die häufigsten in der Literatur beschriebenen Komplikationen sind Elektrodendislokation, Elektrodenbrüche oder Versagen der Batterie bzw. des Impulsgebers 2.

Elektrodendislokation

AP Röntgenbild eines dislozierten SCS Elektrodenpaars.
AP Röntgenbild eines Patienten mit postoperativ dislozierten SCS Elektroden, welche von der BWS auf Höhe LWS disloziert sind.

Laterales Röntgenbild dislozierte SCS Elektroden
Laterales Röntgenbild eines Patienten mit postoperativ dislozierten SCS Elektroden, welche von der BWS auf Höhe LWS disloziert sind.

Referenzen