Das Plexuspapillom ist ein seltener gutartiger Hirntumor (WHO Grad I), der vom Epithel des Adergeflechts, dem Plexus choroideus ausgeht.
Epidemiologie
Plexuspapillome können in jedem Alter auftreten, werden jedoch in etwa 70 % der Patienten in einem Alter von weniger als 2 Jahren diagnostiziert[^1].
Lokalisation
Plexuspapillome können in allen Bereich auftreten, wo sich Plexus choroideus befindet. Plexuspapillome treten aber bevorzugt im Seitenventrikel auf.
Bildgebung
CT Bildgebung
Im CT zeigen sich die meisten Plexuspapillome als isodense/hyperdense lobulierte Raumforderung mit einer homogenen Kontrastmittelaufnahme. Unterschiedlich stark ausgeprägte Kalzifizierungen kommen in etwa 4 - 20 % der Fälle vor[^3].
MRT Bildgebung
Der Goldstandard in der Darstellung von Plexuspapillomen ist die MRT Bildgebung. Im MRT zeigen sich Plexuspapillome als gut definierte extra-axiale Läsion mit Farnkrautwedel-artigen Projektionen, mit einer Kontrastmittelaufnahme und ohne Invasion des Gehirnparenchyms. In seltenen Fällen können Plexuspapillome nur wenig oder kein Kontrastmittel aufnehmen[^3].
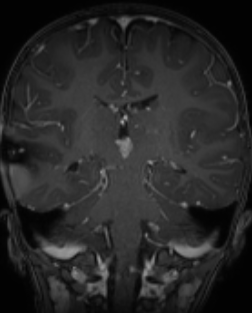
Coronares MRT Bild eines Patienten mit einem Plexuspapillom im dritten Ventrikel.Coronares MRT Bild eines Patienten mit einem Plexuspapillom im dritten Ventrikel.
Prognose
Eine maligne Transformation kann in seltenen Fällen vorkommen, in einer Fallserie aus dem Jahr 2007 wurde bei 2 von 124 Patienten eine maligne Transformation in ein WHO Grad 3 Tumor innerhalb von 59 Monaten beobachtet[^2].
Plexuspapillom dritter Ventrikel im MRT
Coronares MRT Bild eines Patienten mit einem Plexuspapillom im dritten Ventrikel.
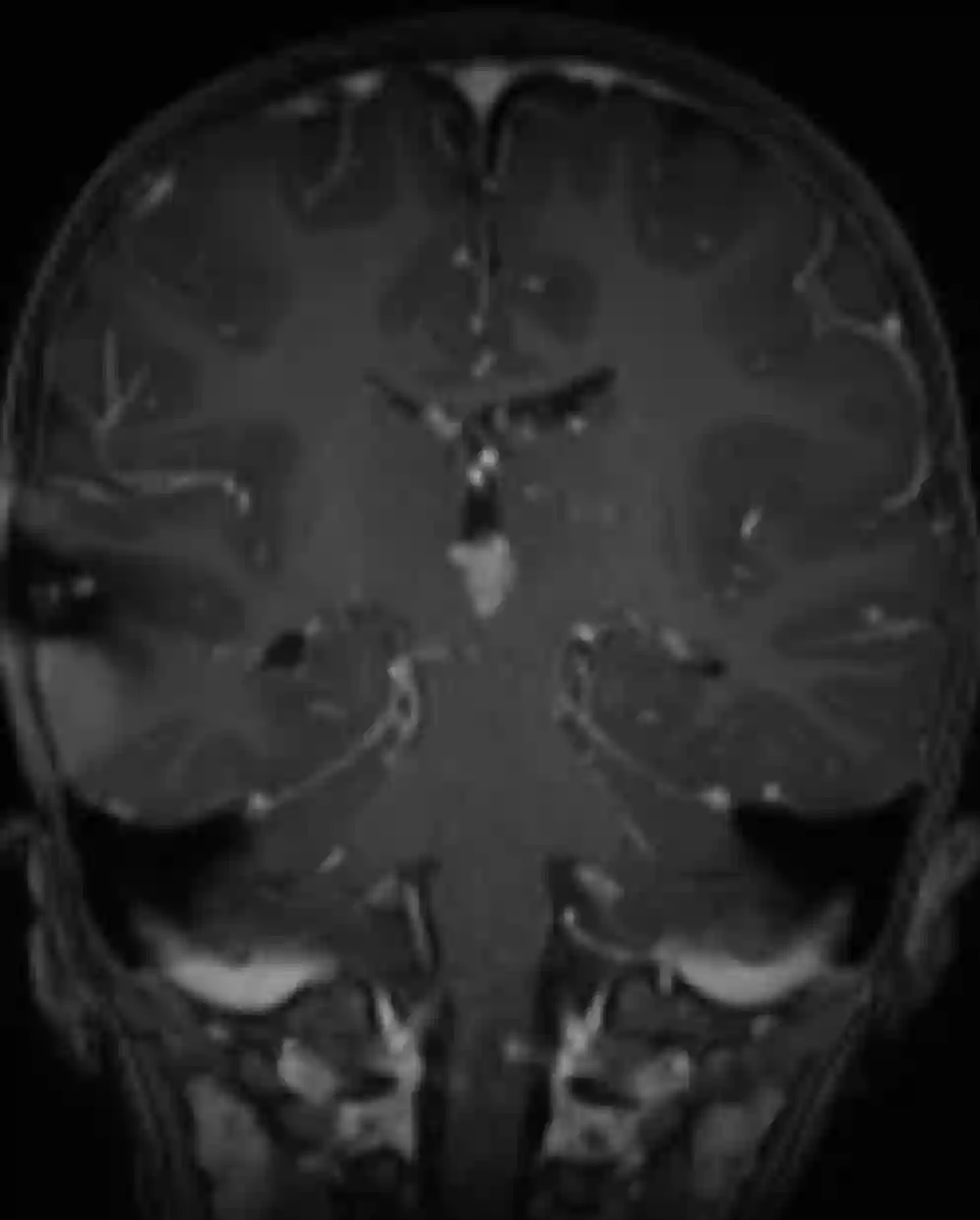
Plexuspapillom im dritten Ventrikel
Coronares MRT Bild eines Patienten mit einem Plexuspapillom im dritten Ventrikel.