Liquorkissen
Zuletzt bearbeitet von Alaric Steinmetz am
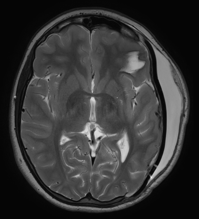
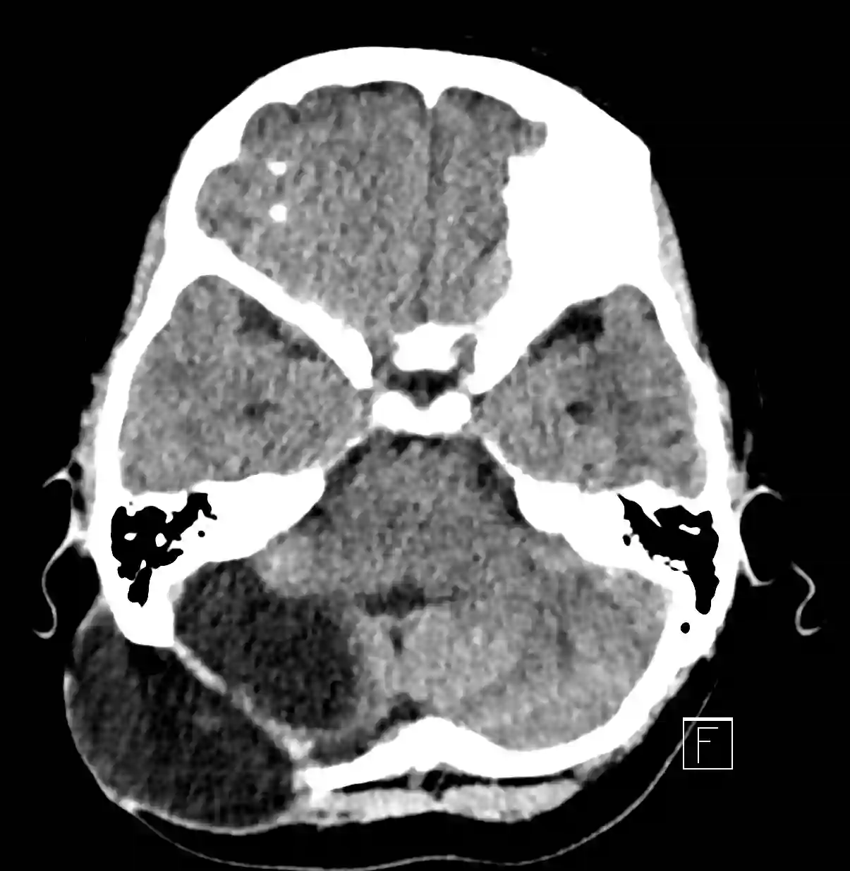
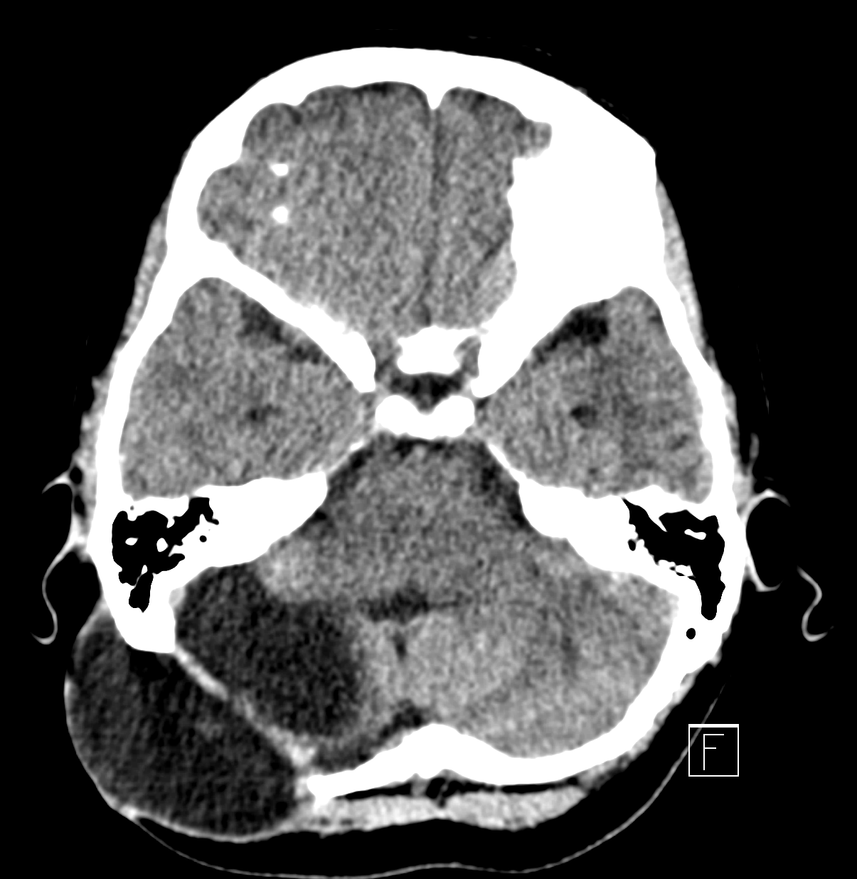
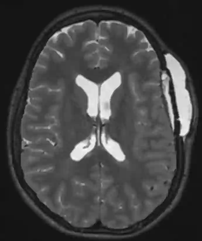
Bei einem Liquorkissen handelt es sich um eine subkutane Liquoransammlung, welche nach einer intrakraniellen Operation auftreten kann. Hierbei tritt der Liquor zwischen dem Kraniotomiespalt nach subkutan aus, wo es zu einer Ansammlung kommt.
Untersuchung
Ein Liquorkissen kann im Normalfall gut getastet werden und imponiert bei der Palpation durch den Liquor bedingt als sehr weich.
Prävention
Durch einen wasserdichten Verschluss der harten Hirnhaut als auch die Applikation von Fibrinkleber auf die Duranaht1 kann das auftreten von Liquorkissen signifikant vermindert werden. Ebenso wird in der Literatur das Durchführen einer Galea-Cranium Naht2 oder auch Arachnoideanaht3 als effektive Möglichkeit zur Reduktion eines Liquorkissens beschrieben. Kommt es zu einem Liquoraustritt aus der Wunde, ist eine operative Sanierung zu diskutieren.
Bildgebung
Ein Liquorkissen kann durch die klinische Untersuchung diagnostiziert werden als auch in einer CT oder MRT Bildgebung dargestellt werden.
Referenzen
YOSHIMOTO, Tetsuyuki, et al. "Effectiveness of fibrin glue for preventing postoperative extradural fluid leakage." Neurologia medico-chirurgica 37.12 (1997): 886-890. ↩ ↩ ↩ ↩
KATO, Tsutomu, Yutaka SAWAMURA, and Hiroshi ABE. "Galea-Cranium Suture Method for Prevention of the Subcutaneous Fluid Collection—Technical Note—." Neurologia medico-chirurgica 39.5 (1999): 384-386. ↩ ↩ ↩ ↩
Yoshimoto, Tetsuyuki, et al. "Arachnoid membrane closure: prevention of postoperative cerebrospinal fluid leakage." Surgical neurology 52.1 (1999): 68-72. ↩ ↩ ↩ ↩