Intraforaminaler Bandscheibenvorfall

Zuletzt bearbeitet von Alaric Steinmetz am

Synonyme: intraforaminal disc herniation

Als intraforaminalen Bandscheibenvorfall bezeichnet man einen Bandscheibenvorfall, welcher innerhalb des Foramen intervertebrale auftritt.

Abbildung

Nomenklatur lumbaler Bandscheibenvorfälle
Nomenklatur lumbaler Bandscheibenvorfälle nach Lokalisation dargestellt an einem axialen T2 MRT Bild.

Bildgebung

Wie bei allen Bandscheibenvorfällen ist auch beim intraforaminalen Bandscheibenvorfall das MRT der Goldstandard in der Diagnostik.

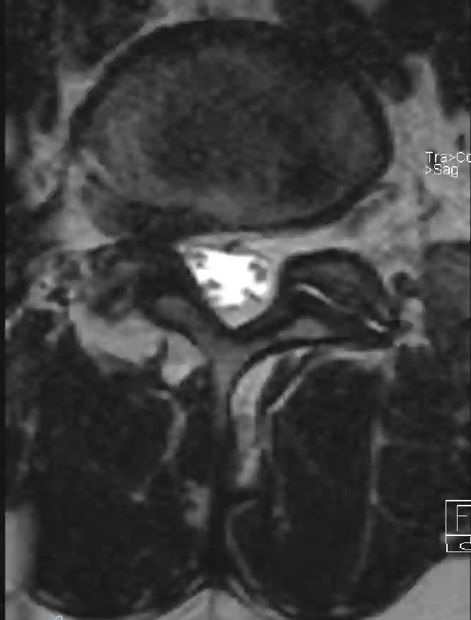
Intraforaminaler Bandscheibenvorfall im MRi
Darstellung eines axialen T2 MRI Bildes eines Patienten mit einem intraforaminalen Bandscheibenvorfall LWK3/4 auf der linken Seite.
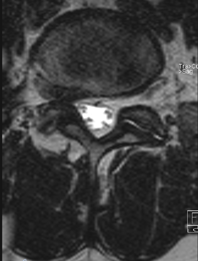
Axiales T2 MRT intraforaminaler Bandscheibenvorfall
Axiale T2 Sequenz eines Patienten mit einem intraforaminalen Bandscheibenvorfall auf der rechten Seite.