Hämangioblastom (WHO Grad 1)
Zuletzt bearbeitet von Alaric Steinmetz am
Synonyme: Hemangioblastoma
ICD-10: D33.0, D33.1, D33.2, D33.4, D33.7, D33.9
Hämangioblastome gehören zu den vaskulären Neoplasien des zentralen Nervensystems und kommen vor allem bei jungen Erwachsenen vor. Es handelt sich um einen benignen, überwiegend im Kleinhirn lokalisierten Tumor und werden in der WHO Klassifikation als Grad 1 Tumore eingeteilt.
WHO Klassifikation
Gemäß der WHO Klassifikation von 2021 werden Hämangioblastome als WHO Grad 1 Tumore eingestuft[^1].
Epidemiologie
Hämangioblastome sind die häufigsten primär hirneigenen Tumore in der hinteren Schädelgrube bei Erwachsenen[^2]. Hämangioblastome machen etwa 1,5 % bis 2,5 % aller intrakraniellen Tumoren und 7 - 8 % aller Tumoren der hinteren Schädelgrube aus[^5].
Symptome
Die häufigsten Symptome bei Hämangioblastomen der hinteren Schädelgrube sind auf eine erhöhte Hirndrucksymptomatik zurückzuführen, gefolgt von cerebellären Symptomen[^5].
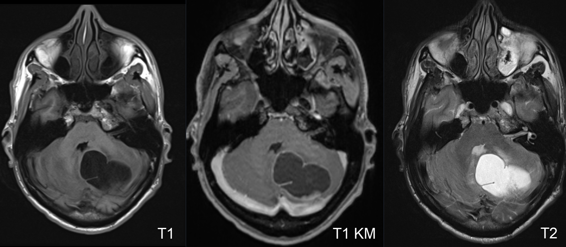
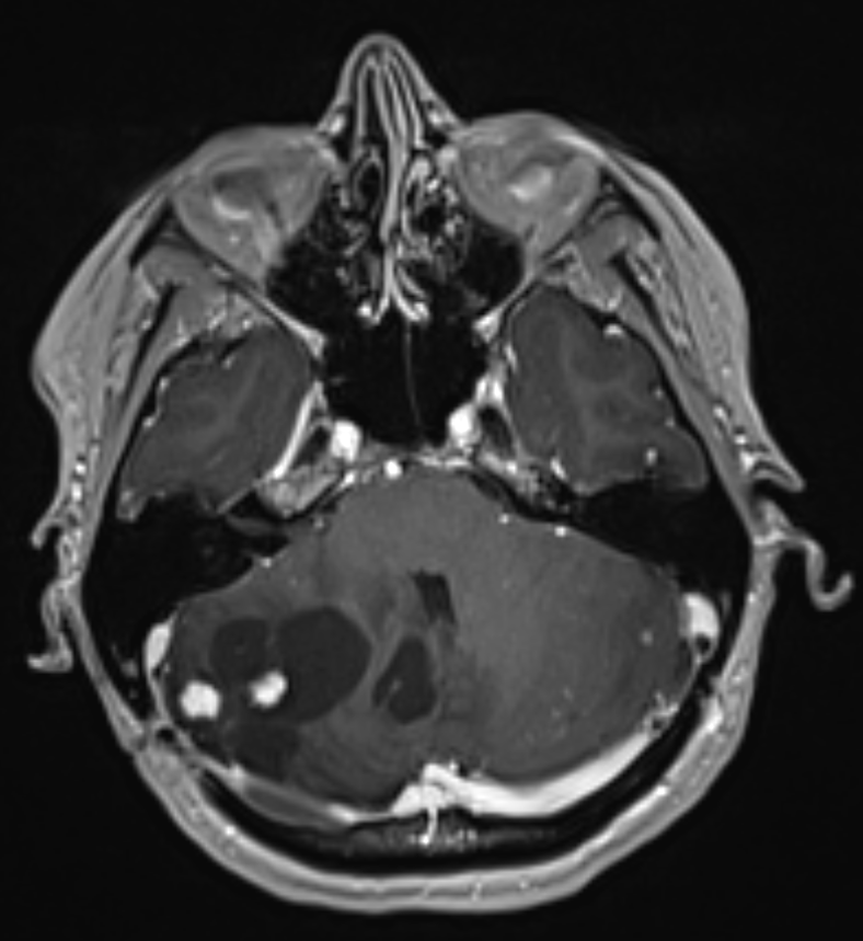
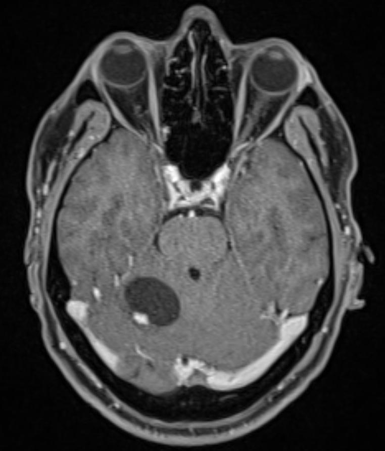
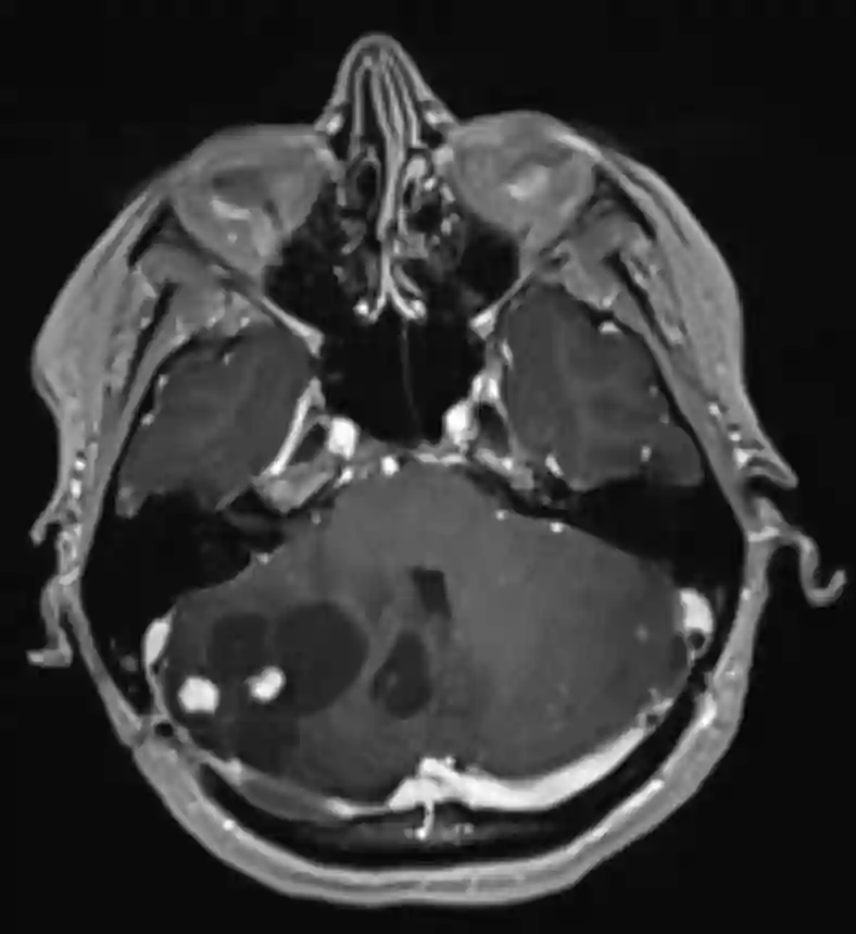
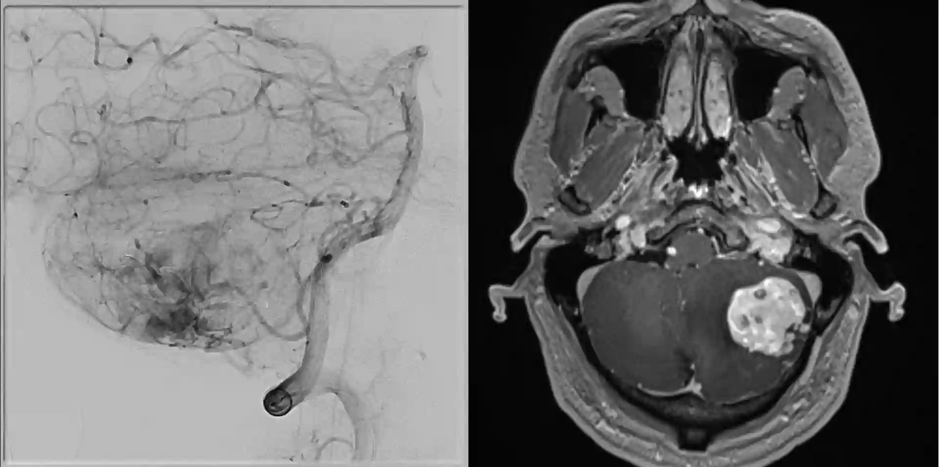
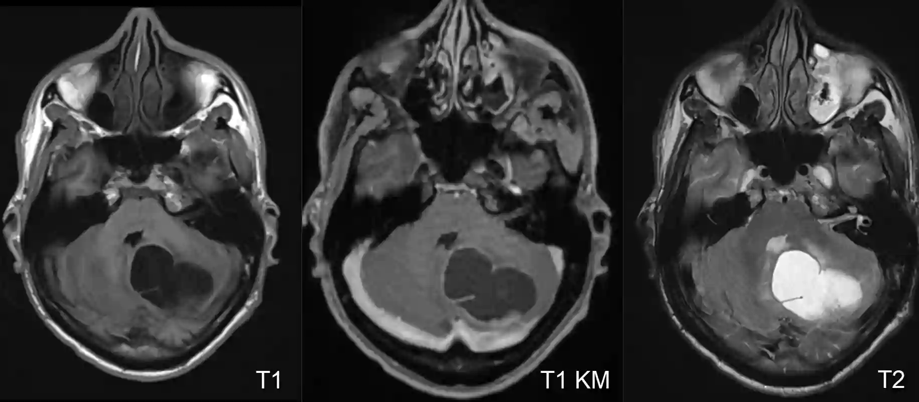
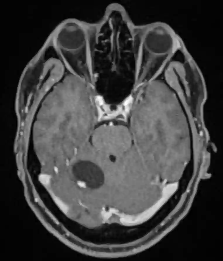
Bildgebung
Der Goldstandard in der Bildgebung von Hämangioblastomen ist die MRT Bildgebung. In einer digitalen Subtraktionsangiographie zeigt sich häufig ein stark vaskularisierter Nodulus mit Feedergefäßen, welcher suggestiv für ein Hämangioblastom ist.




Assoziierte Erkrankungen
In 25-40 % der Fälle werden Hämangioblastome bei Patienten mit einer von Hippel-Lindau Erkrankung diagnostiziert[^3]. Bei Patienten mit einer von Hippel-Lindau Erkrankungen können multiple Hämangioblastome kranial als auch spinal auftreten.
Schwangerschaft
Bei schwangeren Patienten besteht das Risiko einer rapiden Größenprogression des Hämangioblastoms durch die Schwangerschaft[^4].