Gyrus cinguli

Zuletzt bearbeitet von Alaric Steinmetz am

Der Gyrus cinguli ist Teil des limbischen Systems.

Anatomie

Der Gyrus cinguli befindet sich superior des Corpus callosum und wird nach oben hin vom Sulcus cinguli begrenzt. Im Marklager des Gyrus cinguli verläuft eine lange Assoziationsbahn, das Cingulum.

Brodmann Areal

Der Gyrus cinguli wird dem Brodmann Areal 24 zugerechnet[^1].

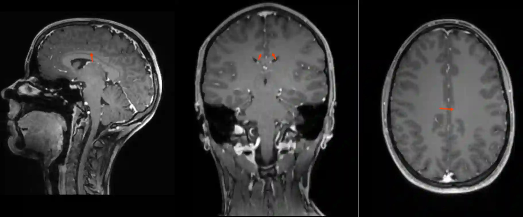
Bildgebung

Gyrus cinguli im MRI
Darstellung des Gyrus cinguli (roter Pfeil) in einer T1 Sequenz mit Kontrastmittel im MRI in drei verschiedenen Ebenen.
Sulcus cinguli und Sulcus centralis im MRT
Darstellung des Sulcus cinguli (blau) und des Sulcus centralis (rot) im sagittalen MRT Bild.

Chirurgische Zugänge

Der Gyrus cinguli kann beispielsweise über einen interhemisphärischen oder einen kontralateralen transfalcinen interhemisphärischen Zugang erreicht werden[^2].