Globus pallidus

Zuletzt bearbeitet von Alaric Steinmetz am

Synonyme: Pallidum

Der Globus pallidus ist ein Kerngebiet im Gehirn, welches entwicklungsgeschichtlich ein Teil des Zwischenhirns ist, funktionell jedoch den Basalganglien zugeordnet wird.

Abbildung

Schematische axiale Darstellung des Telencephalons
Schematische axiale Abbildung des Telencephalons mit Abbildung verschiedener Kerngebiete. Die Basalganglien sind blau eingefärbt. Abbildung adaptiert aus Grays Anatomy.
Anatomie Rhoton
Anatomische Darstellung adaptiert von Albert Rhoton 2002 Neurosurgery.

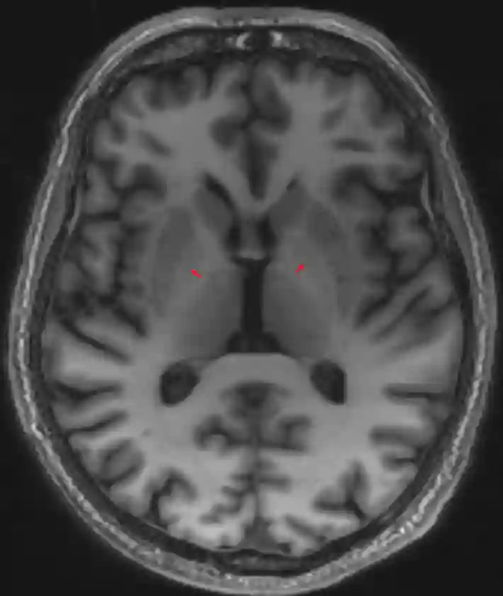
Bildgebung

Das Globus pallidus lässt sich in der MRT Bildgebung darstellen.

Globus pallidus MRI
Darstellen des Globus pallidus (roter Pfeil) in einer axialen MDEFT MRI Sequenz.