Falx cerebri

Zuletzt bearbeitet von Alaric Steinmetz am

Die Falx cerebri ist eine Duraduplikatur und trennt die beiden Großhirnhemisphären voneinander.

Anatomie

Die Falx cerebri ragt in die Fissura longitudinalis cerebri hinein und ist anterior an der Crista frontalis und Crista galli und posterior an der Protuberantia occipitalis interna befestigt. Die Falx cerebri endet kurz oberhalb des Corpus callosum und schließt in ihrem freien Rand den Sinus sagittalis inferior ein.

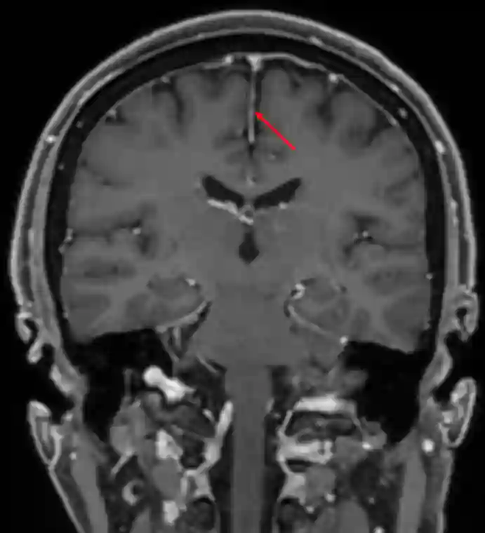
Bildgebung

Falx cerebri im MRI
Falx cerebri in einem koronaren MRI Bild (T1 Sequenz mit Kontrastmittel)

Klinische Relevanz

Meningeome welche an der Falx cerebri lokalisiert sind, werden auch als Falxmeningeome bezeichnet.