Extraaxial

Zuletzt bearbeitet von Alaric Steinmetz am

Synonyme: extra-axial

Der Begriff extraaxial ist eine anatomische bzw. bildgebende Lagebezeichnung und wird für Prozesse verwendet, welche außerhalb der Neuroachse liegen und somit nicht vom Gehirnparenchym ausgehen.

Beispiele

Bildgebung

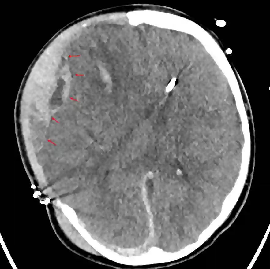
Extra-axiale Nachblutung nach Hemikraniektomie
Darstellung einer extra-axialen Nachblutung auf der rechten Seite bei einem Patienten nach durchgeführter Hemikraniektomie.