Evans Index

Zuletzt bearbeitet von Alaric Steinmetz am

Synonyme: Evan Index

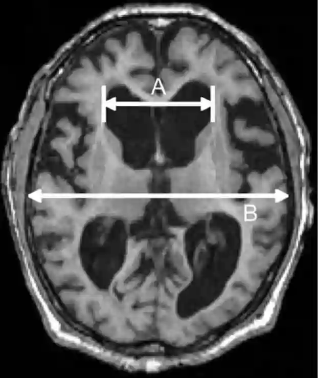
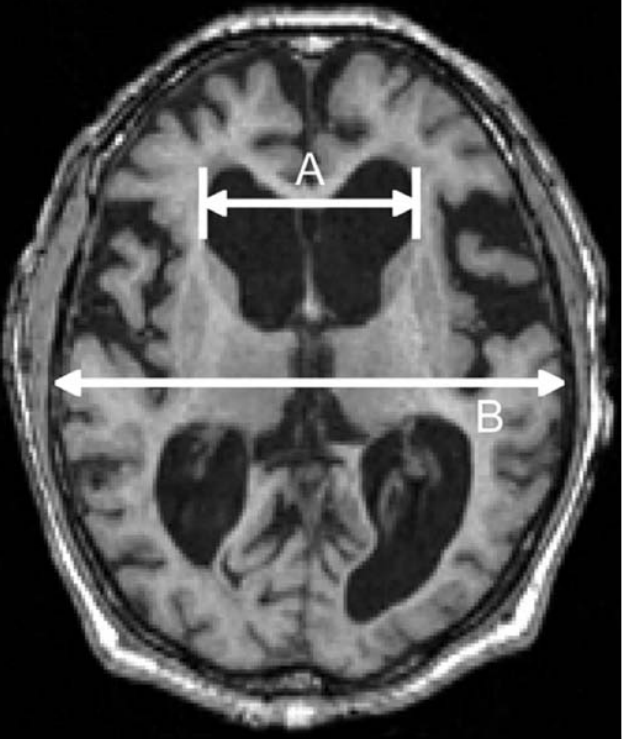
Der Evans Index ist das Verhältnis zwischen der maximalen Weite der Vorderhörner der Seitenventrikel auf einem axialen Schnittbild und dem maximalen inneren Durchmesser des Schädels auf derselben Schicht.

Interpretation

Bei einem Evans-Index > 0,3 gelten die Ventrikel als erweitert.

Klinische Relevanz

Der Evans Index wird in der Diagnostik des Normaldruckhydrocephalus verwendet. Ein Evans Index größer als 0,3 ist jedoch nicht spezifisch oder suggestiv für einen Normaldruckhydrocephalus, sondern zeigt eine lediglich eine Ventrikelerweiterung an. Die Verwendung des Evans Index wird kontrovers diskutiert, da der Wert je nach axialer Schicht und Kippung variieren kann1.

Bildgebung

Evans Index MRI
Der Evans Index wird anhand dieses axialen MRI Schnittsbild mit A/B berechnet.

Referenzen