Dural Tail Zeichen

Zuletzt bearbeitet von Alaric Steinmetz am

Synonyme: Dural Tail Sign

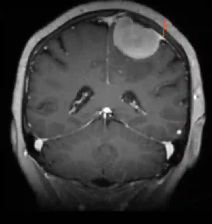
Das Dural Tail Zeichen ist ein radiologisches Zeichen, welches im MRT und teilweise auch im CT gesehen werden kann. Es beschreibt die Anhaftungsstelle, welche sich bildgebend als Ausläufer einer Raumforderung an der Dura mater zeigt. Das Dural Tail ist beispielsweise typischerweise bei Meningeomen zu finden kann sich aber auch bei anderen Raumforderungen wie beispielsweise Metastasen zeigen1 2.

Bildgebung

Dural Tail Zeichen MRT
Dural Tail Zeichen bei einem Meningeom (roter Pfeil).

Referenzen