Berner SIH Score

Zuletzt bearbeitet von Alaric Steinmetz am

Synonyme: SIH Bern Score

Der Berner SIH Score gibt anhand von 0 bis 9 Punkten die Wahrscheinlichkeit für eine spontane intrakranielle Hypotension (SIH) anhand von 6 Kriterien auf einer kranialen MRT Bildgebung an[^1].

Score

Kriterium

Punkte

Vergrößerung der venösen Sinus durae matris.

2

Pachymeningeales Kontrastmittelenhancement

2

Subdurale Flüssigkeitskollektion

1

Verschmälerung der suprasellären Zisterne (≤ 4mm)

2

Verschmälerung der präpontinen Zisterne (≤ 5 mm)

1

Mamillopontine Distanz ≤ 6,5 mm

1

Interpretation

Die errechneten Punkte aus dem Score können wie folgt interpretiert werden[^1].

Punkte

Wahrscheinlichkeit eines spinalen CSF Lecks

≤ 2

Niedrig

3-4

Mittel

≥ 5

Hoch

Bildgebung

SIH Score
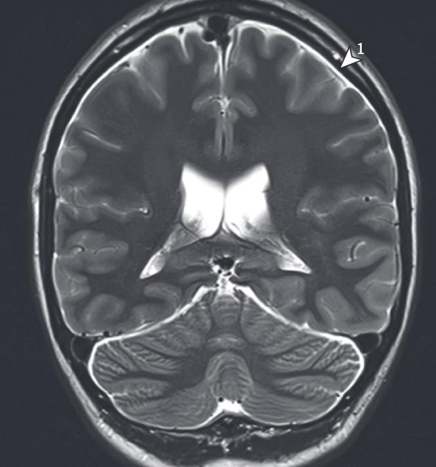
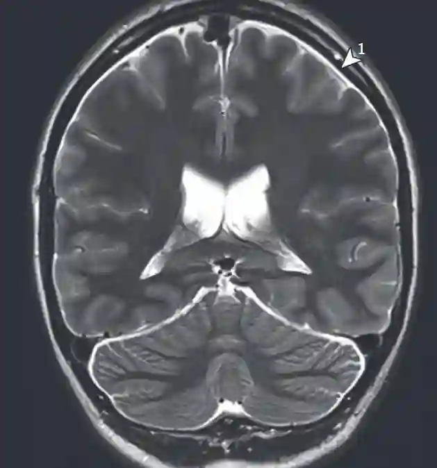
1) Subdurale Flüssigkeitsansammlung. Dobrocky T. et al. 2019. JAMA Neurology.
SIH Score
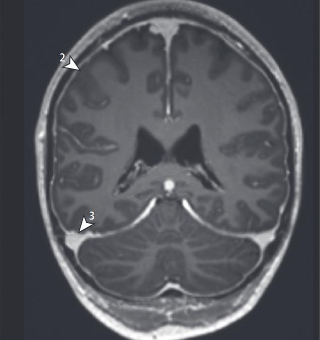
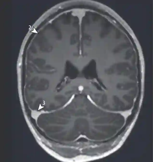
2) Pachymeningeale Enhancement 3) Vergrößerung der Sinus durae matris. Dobrocky T. et al. 2019. JAMA Neurology.
SIH Score MRT
4) Distanz der suprasellären Zisterne 5) Pontomammilläre Distanz 6) Präpontine Zisterne. Abbildung adaptiert von Dobrocky T. et al. 2019. JAMA Neurology.