Sinusvenenthrombose
Zuletzt bearbeitet von Alaric Steinmetz am
Als Sinusvenenthrombose bezeichnet man das Auftreten einer Thrombose in einem Hirnsinus.
Epidemiologie
In Erwachsenen kommen Sinusvenenthrombosen mit einer Häufigkeit von etwa 3-4 pro 1 Million Erwachsene vor1, bei Kindern beträgt die Häufigkeit etwa 7 pro 1 Million2. Bei Erwachsenen sind etwa 75% der betroffenen Patienten Frauen3.
Symptome
Das häufigste und unspezifistische Symptom einer Sinusvenenthrombose sind Kopfschmerzen, welche bei ca. 90% der Patienten auftreten 4 5. Die Kopfschmerzen entwickeln sich normalerweise progredient über mehrere Tage, können jedoch in etwa 10% der Fälle als Donnerschlagkopfschmerzen auftreten6.
Lokalisierung
Therapie
Die Therapie erfolgt konservativ mittels Antikoagulation7. In der Akutphase kann in auserwählten Fällen auch eine Thrombolyse bzw. endovaskuläre Behandlung diskutiert werden8.
Komplikationen
Durch den venösen Rückstau, welcher durch die Thrombose verursacht wird kann es zu einer Venenruptur kommen, welche zu einer intrazerbralen Einblutung führt. Eine solche intrazerebrale Blutung wird als Kongestionsblutung bezeichnet wird.
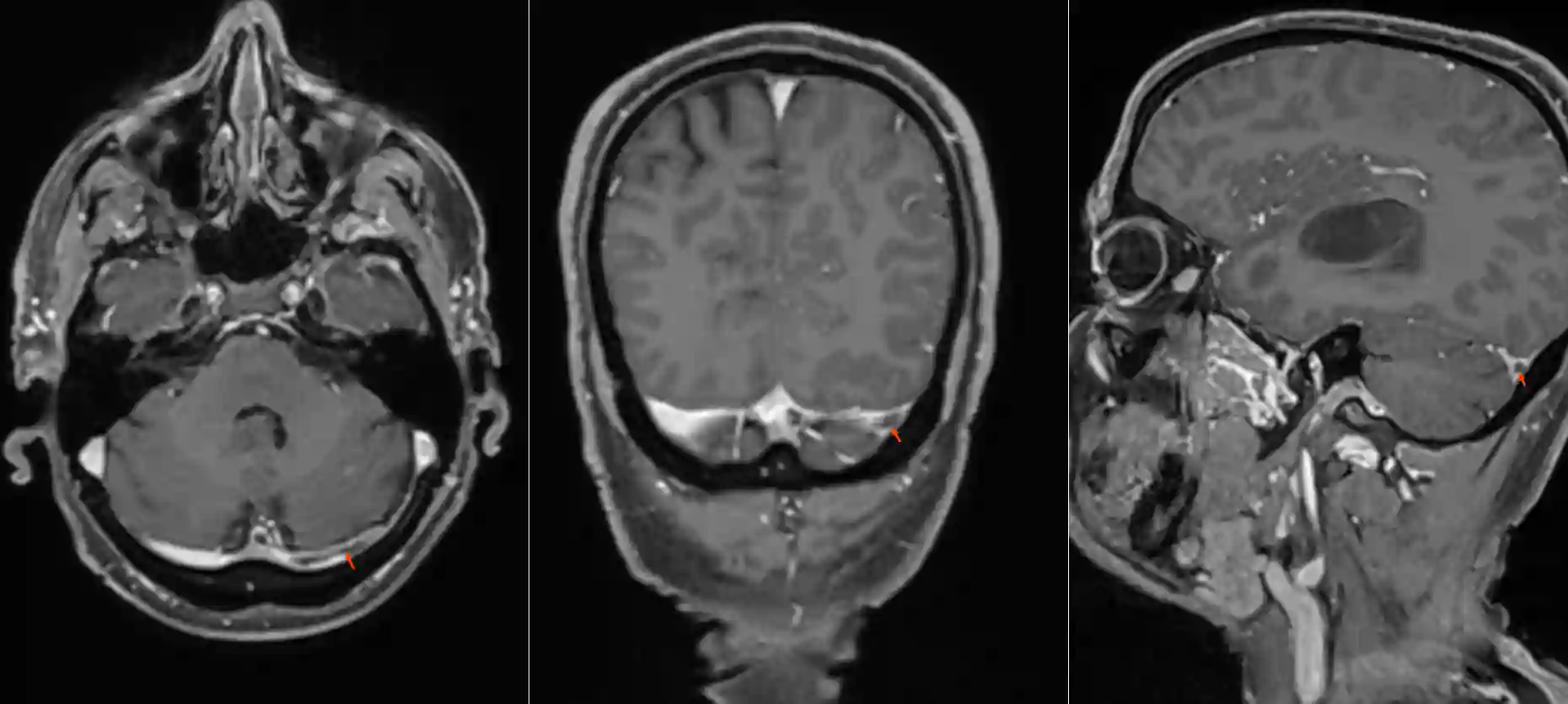
Bildgebung
Sinusvenenthrombosen können je nach Ausprägung des Thrombos in einer CT, MRI Bildgebung als auch einer digitalen Subtraktionsangiographie visualisiert werden.
Referenzen
Stam, Jan. "Thrombosis of the cerebral veins and sinuses." New England Journal of Medicine 352.17 (2005): 1791-1798. ↩ ↩ ↩ ↩ ↩ ↩ ↩ ↩ ↩ ↩ ↩ ↩ ↩ ↩ ↩ ↩ ↩ ↩ ↩ ↩
Capecchi, M., M. Abbattista, and I. Martinelli. "Cerebral venous sinus thrombosis." Journal of Thrombosis and Haemostasis 16.10 (2018): 1918-1931. ↩ ↩ ↩ ↩ ↩ ↩ ↩ ↩
De Bruijn, S. F. T. M., et al. "Thunderclap headache as first symptom of cerebral venous sinus thrombosis." The Lancet 348.9042 (1996): 1623-1625. ↩ ↩ ↩ ↩