Als Pneumocephalus wird das Vorhandensein von Gasen, im Regelfall Luft, innerhalb des Neurocraniums bezeichnet.
Ursachen
Ein Pneumocephalus kann beispielsweise nach einer intrakraniellen Operation, bei einem offenen Schädel-Hirn-Trauma, als auch bei einem intrakraniellem Infekt auftreten.
Bildgebung
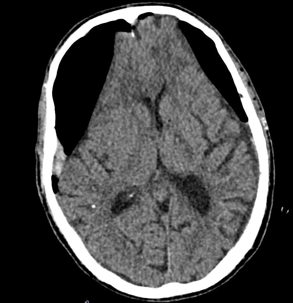
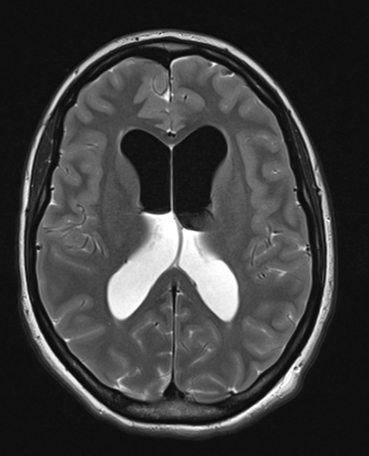
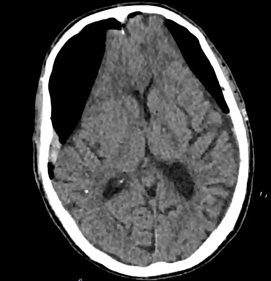
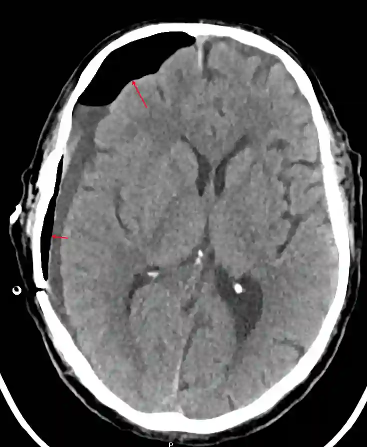
Die intrakraniellen Lufteinschlüsse lassen sich optimal in einer CT-Bildgebung als auch in einer MRT Bildgebung darstellen. Ein ausgeprägtes Pneumocephalus mit Kompression des Frontallappens kann sich in der CT-Bildgebung als sogenanntes Mount Fuji Zeichen darstellen.
CT



MRT

Behandlung des postoperativen Pneumocephalus
Ein ausgeprägter oder symptomatischer postoperativer Pneumocephalus kann mit einer Erhöhung des FiO2 behandelt werden. Die Erhöhung des FiO2 führt zu einer erhöhten Resorption der intrakraniellen Luft[^2]. Eine Applikation von 100 % FiO2 kann für 24-48 Stunden ohne schwerwiegende pulmonale Toxizität toleriert werden[^3]. Ein Spannungspneumocephalus kann schwerwiegende Symptome verursachen und sollte mit einer ähnlichen Dringlichkeit wie eine intrakranielle Blutung evakuiert werden[^1].