Nervenwurzelinfiltration
Zuletzt bearbeitet von Alaric Steinmetz am
Synonyme: Nervenblockade, PRT, Nervenwurzelblockade
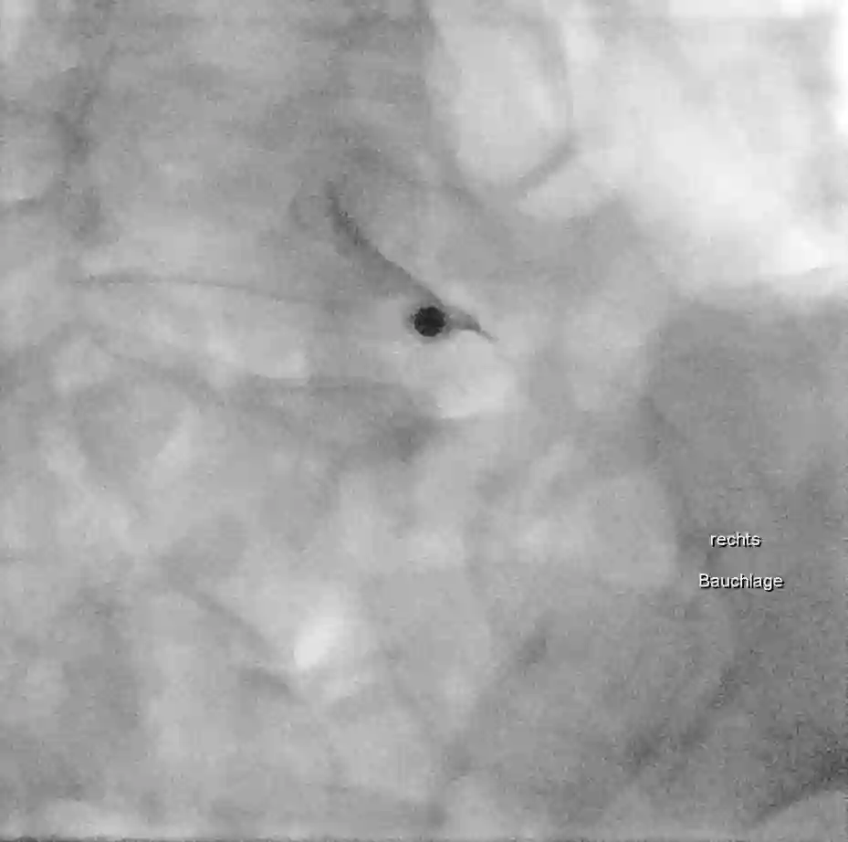
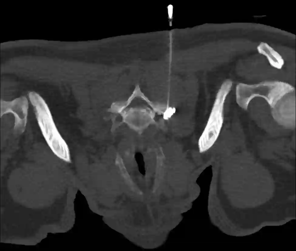
Bei einer Nervenwurzelinfiltration, oder auch Nervenblockade genannt, wird unter einer Bildgebung (Ultraschall, Durchleuchtung oder CT) eine Mischung aus Lokalanästhetikum, mit oder ohne Kortison direkt an die Nervenwurzel appliziert. Man unterscheidet zwischen einer therapeutischen und diagnostischen Infiltration.
Therapeutische Infiltration
Bei einer therapeutischen Infiltration ist das Ziel, eine lang anhaltende Schmerzlinderung zu erlangen. Diese Art der Infiltratin wird üblicherweise aus einem Kombinationspräparat aus Kortison und Lokalanästhetetikum durchgeführt.
Diagnostische Infiltration
Bei einer diagnostischen Infiltration, besteht das Ziel darin, die schmerzauslösende Stelle zu lokalisieren. Diese Art der Infiltration wird üblicherweise nur mit einem Lokalanästhetikum ohne Kortison durchgeführt.
Komplikationen
Die Komplikationsrate bei Nervenwurzelinfiltrationen ist gering, am häufigsten zeigen sich vorübergehende Paresen, Infektionen oder Einblutungen. Auch schwerwiegende Komplikationen wie epileptische Anfälle, Arrhythmien wurden in der Literatur bechrieben[^1].
Bildgebung



Video
-
infiltration_c7_links_ct_gesteuert.mp4 769.88 KB
- Video Beschreibung
- Durchführung einer Nervenwurzelinfiltration der Nervenwurzel C7 links mithilfe des CTs.
- Lizenz
- CC BY NC ND 4.0