Mega cisterna magna

Zuletzt bearbeitet von Alaric Steinmetz am

Synonyme: Megacisterna magna

Bei einer Mega cisterna magna handelt es sich um eine Erweiterung der Cisterna magna mit intaktem Vermis cerebelli und viertem Ventrikel.

Abbildung

Varianten des Dandy-Walker Komplex
Abbildung der verschiedenen Varianten im Dandy-Walker Komplex. Abbildung adaptiert von Azab A. et al. 2014.

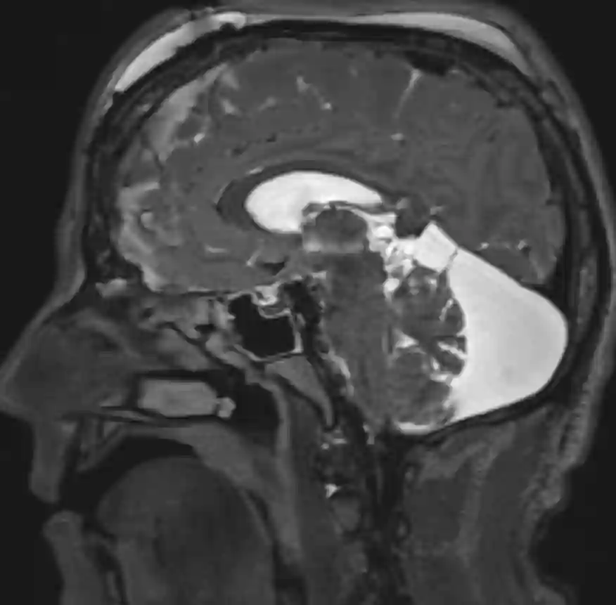
Bildgebung

Megacisterna magna im MRI
Darstellung eines sagittalen MRI eines Patienten mit einer Megacisterna magna.