Kontusionsblutung
Zuletzt bearbeitet von Alaric Steinmetz am
Synonyme: Intracerebral contusions, Hirnkontusion
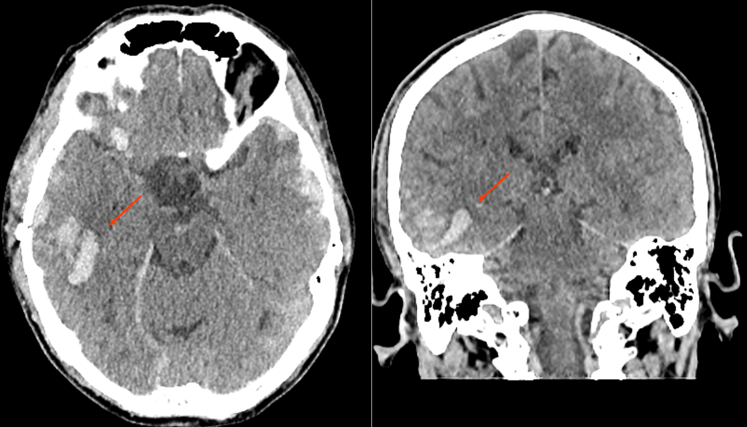
Kontusionsblutungen sind eine Form von intrakraniellen Blutungen, die häufig als Folge eines Schädel-Hirn-Traumas auftreten. Sie sind durch Blutungen innerhalb des Gehirnparenchyms gekennzeichnet, die oft in der initialen Bildgebung nicht oder nur geringfügig erkennbar sind, jedoch im Verlauf deutlich an Volumen zunehmen können. Diese Blutungen entstehen typischerweise durch eine rasche Dezeleration und den dadurch verursachten Aufprall des Gehirns gegen den Schädelknochen, basierend auf dem Coup- bzw. Contrecoup-Prinzip.
Coup Kontusionen
Coup Kontusionen treten auf der Seite des Aufpralls auf und sind die direkte Folge des Traumas. Sie werden durch den Aufprall des Gehirns mit der Schädelinnenfläche verursacht. Derartige Läsionen sind häufig an der Stelle des Aufpralls lokalisiert und können je nach Stärke und Winkel des Aufpralls in ihrer Schwere variieren.
Contrecoup Kontusionen
Contrecoup Kontusionen entstehen auf der dem Aufprall gegenüberliegenden Seite und sind auf die Bewegung des Gehirns innerhalb des Schädels zurückzuführen. Diese Art von Kontusion ist häufiger am Frontal- und Temporalpol sowie im subfrontalen Bereich zu finden[^4]. Contrecoup Läsionen entstehen, wenn das Gehirn gegen die gegenüberliegende Schädelwand prallt.
Bildgebung
In der Bildgebung können Kontusionsblutungen mittels Magnetresonanztomographie (MRT) sowie Computertomographie (CT) dargestellt werden. Beide Methoden bieten unterschiedliche Vorteile: Während die MRT besonders bei der Darstellung des Weichteilgewebes und der Identifizierung älterer Blutungen effizient ist, bietet die CT Bildgebung den Vorteil einer schnelleren Verfügbarkeit und ist somit besonders in der initialen Notfallsituationen und Verlaufsbildgebung von Bedeutung.


Behandlung
Kontusionsblutungen erhöhen das Risiko für die Entwicklung von epileptischen Anfällen nach einem Schädel-Hirn-Trauma[^1] [^2]. In den meisten Fällen können diese Blutungen konservativ behandelt werden, ohne dass eine chirurgische Intervention erforderlich ist. Jedoch kann in seltenen Fällen bei einer ausgeprägten Raumforderung durch die Blutung eine chirurgische Entlastung notwendig sein[^3].