Unter einer Hyperostose versteht man die Bildung überschüssigen Knochengewebes im Sinne einer Hyperplasie, welche durch eine gesteigerte Aktivität der Osteoblasten zustande kommt.
Epidemiologie
Eine bifrontale Hyperostose wurde in 5–12 % der Bevölkerung beschrieben[^3], kommt jedoch deutlich häufiger bei Frauen als bei Männern vor[^2]. Es besteht ein Zusammenhang zwischen einer bifrontalen Hyperostose und postmenopausalen Frauen. Die Inzidenz in dieser Population wurde zwischen 40 und 60 % beschrieben[^3].
Lokalisation
Eine Hyperostose wird besonders häufig bifrontal bei postmenopausalen Frauen beobachtet[^1].
Klinische Relevanz
Eine ausgeprägte Hyperostose kann das Durchführen einer Kraniotomie erschweren.
Bildgebung
Axiales CT Bild im Knochenfenster eines Patienten mit einer bifrontalen Hyperostose.Axiale T2 MRT Sequenz einer Patientin mit einer ausgeprägten bifrontalen Hyperostose.
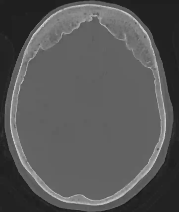
Bifrontale Hyperostose im CT
Axiales CT Bild im Knochenfenster eines Patienten mit einer bifrontalen Hyperostose.
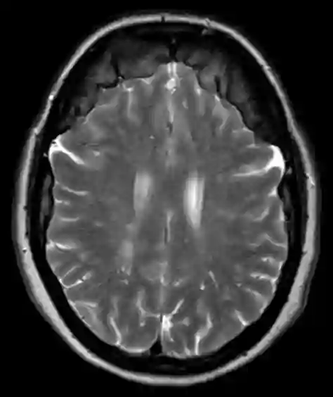
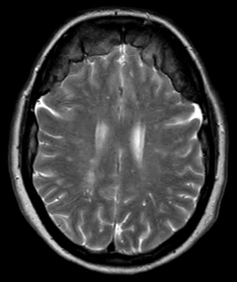
Bifrontale Hyperostose im MRT
Axiale T2 MRT Sequenz einer Patientin mit einer ausgeprägten bifrontalen Hyperostose.