Gyrus angularis

Zuletzt bearbeitet von Alaric Steinmetz am

Synonyme: Angular gyrus, AG

Der Gyrus angularis befindet sich am posterioren Ende des Sulcus temporalis superior als verbindender Gyrus zwischen Gyrus temporalis superior und Gyrus temporalis medius.

Blutversorgung

Die Blutversorgung des Gyrus angularis wird durch einen Endast der Arteria cerebri media sichergestellt.

Funktion

Der Gyrus angularis gehört zu den höheren Assoziationsarealen der Großhirnrinde. Er spielt eine entscheidende Rolle in der Vernetzung höherer Seh- und Hör-Zentren mit höheren sensorischen und motorischen Arealen. Somit ist er an Funktionen wie Schreiben, Lesen und Rechnen entscheidend beteiligt1. Auf der dominanten Hemisphäre ist der Gyrus angularis Teil des Wernicke Sprachareals. Die exakte Lokalisation des Sprachareals unterliegt je nach Person einer Variabilität2.

Bildgebung

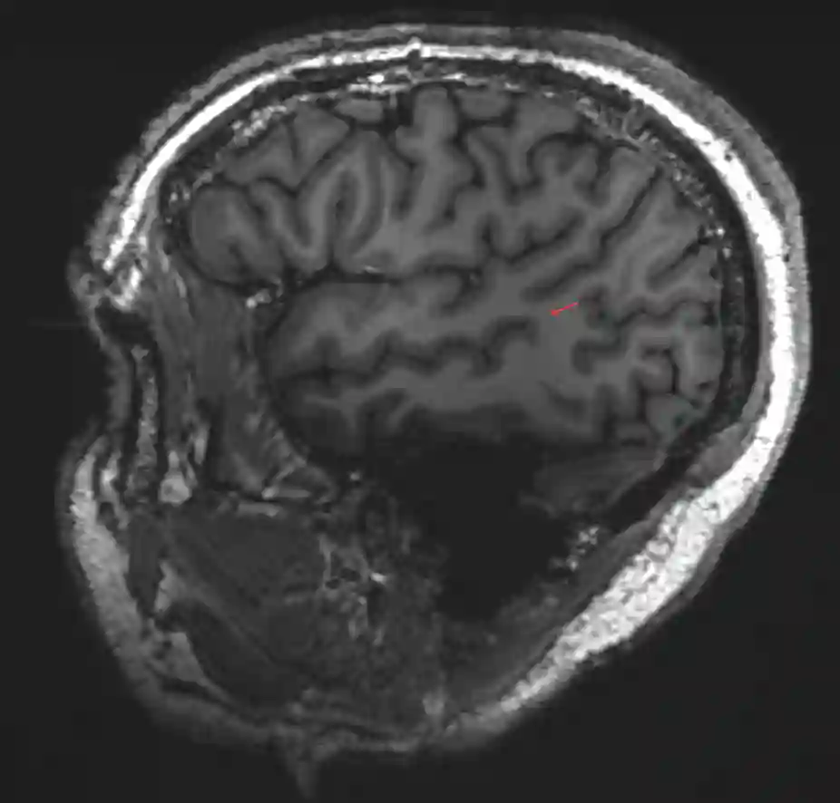
Gyrus angularis im MRI
Darstellung des Gyrus angularis (roter Pfeil) in einer sagittalen MRI Sequenz in einem 7 Tesla MRI.

Referenzen