Graue Substanz (Substantia grisea)

Zuletzt bearbeitet von Alaric Steinmetz am

Synonyme: Substantia grisea

Im Gehirn und Rückenmark wird zwischen der grauen Substanz (Substantia grisea) und der weißen Substanz (Substantia alba) unterschieden. In der grauen Substanz befinden sich die Zellkörper, welche auch Perikarya genannt werden.

Bildgebung

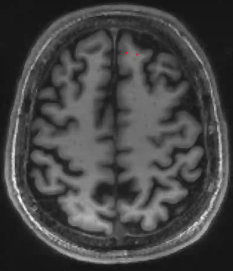
Graue Substanz MRI
Graue Substanz (beispielsweise markiert mit zwei roten Pfeilen) im Gehirn in einer axialen MDEFT MRI Sequenz.