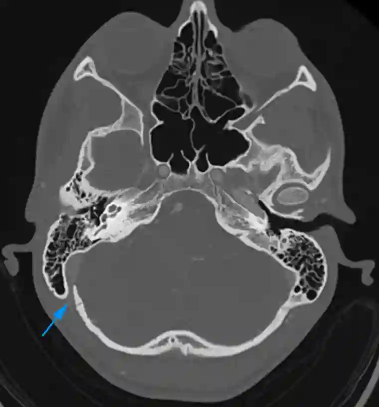
Foramen mastoideum

Zuletzt bearbeitet von Alaric Steinmetz am

Synonyme: Mastoid foramen

Das Foramen mastoideum ist eine variable Knochenöffnung im posterioren Teil des Os temporale.

Anatomie

Das Foramen mastoideum stellt eine Verbindung zwischen dem Sulcus sinus sigmoidei und der Außenfläche des Processus mastoideus her. Es enthält eine Vena emissaria mastoidea zum Sinus sigmoideus und den Ramus meningeus posterior der Arteria occipitalis.

Variabilität

Das Foramen mastoideum ist sehr variabel ausgeprägt und kann aus zwischen 0 und 4 Öffnungen bestehen[^1].

Abbildung

Os temporale Innenfläche
Schematische Abbildung der Innenfläche des Os temporale. Abbildung adaptiert aus Figure 138 von Grays Anatomy.

Bildgebung

Foramen mastoideum im CT
Axiales CT Bild mit Darstellung des Foramen mastoideum (blauer Pfeil).