Foramen magnum Meningeom

Zuletzt bearbeitet von Alaric Steinmetz am

Bei einem Foramen magnum Meningeom handelt es sich um eine seltene Variante eines Meningeoms, welches am Foramen magnum lokalisiert ist. Die sehr eloquente Lage des Meningeoms macht eine chirurgische Entfernung herausfordernd.

Epidemiologie

Obwohl Meningeom zu den häufigsten intrakraniellen Neoplasien gehören, ist eine Lokalisation am Foramen magnum äußerst selten und kommt in etwa 1,8-3,2% der Fälle vor 1.

Chirurgischer Zugang

Eine suboccipitale Kraniotomie oder Kraniektomie mit oder ohne zervikaler Laminektomie ist einer der meist gebräuchlichen chirurgischen Zugängen für solche Meningeome 2.

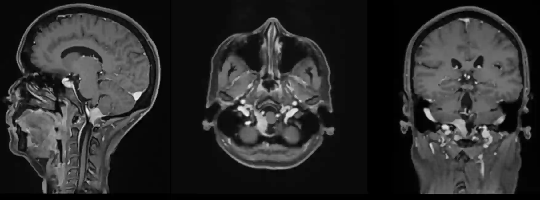
Foramen magnum Meningeom im MRI
T1 Sequenz mit Kontrastmittel eines Foramen magnum Meningeoms in drei verschiedenen Ebenen.

Referenzen