Fibröse Dysplasie
Zuletzt bearbeitet von Alaric Steinmetz am
Synonyme: FD, Morbus Jaffé-Lichtenstein
ICD-10: M85.0
Die Fibröse Dysplasie wird auch als Morbus Jaffé-Lichtenstein bezeichnet und ist eine angeborene Störung der Ossifikation. Es handelt sich hierbei um nicht neoplastische Läsionen bei welchen der Knochen teilweise durch Bindegewebe ersetzt ist1. Durch die minderwertige Substantia compacta ist der Knochen aufgetrieben, verformt und frakturgefährdet.
Epidemiologie
Die wirkliche Inzidenz ist nicht bekannt, da viele der Läsionen asymptomatisch sind. Die fibröse Dysplasie stellt etwa 7% der gutartigen Knochenläsionen dar2.
Lokalisation
Läsionen durch die fibröse Dysplasie treten am häufigsten im Bereich der Rippen, am proximalen Femur und im Kraniofazialen Bereich auf, wobei die Maxilla besonders häufig betroffen ist3.
Maligne Transformation
Maligne Transformationen sind in < 1 % der Fälle beschrieben. Typischerweise ist die maligne Transformation in ein Osteosarkom, wobei andere Sarkomtypen ebenso möglich sind4. Eine Strahlentherapie kann das Risiko einer malignen Transformationen um bis zu 44% erhöhen und wird daher als relativ kontraindiziert angesehen5 6.
Morphologische Einteilung
Am Schädel kann man je nach Morphologie drei verschiedene Typen der fibrösen Dysplasie unterscheiden7:
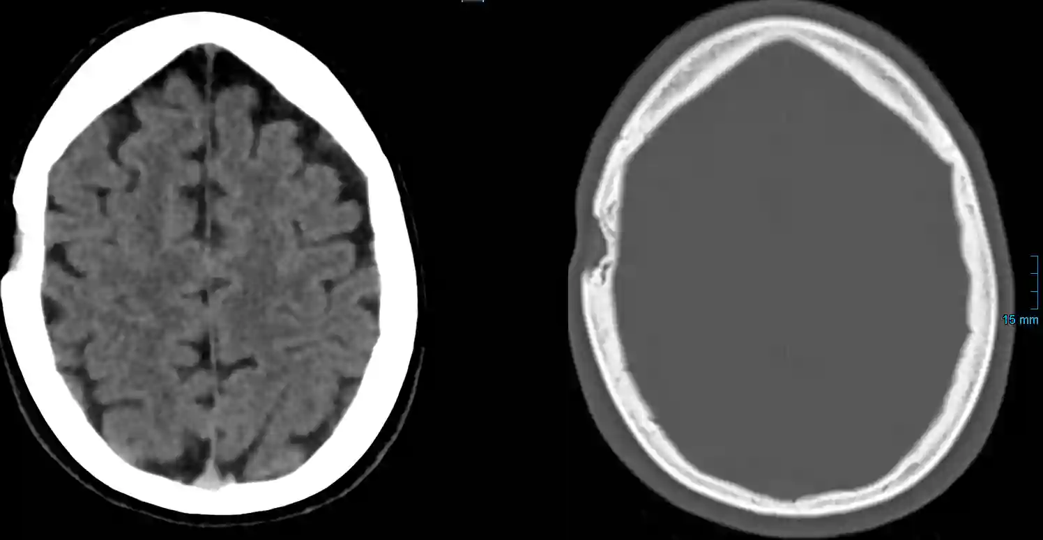
- Zystisch (Wobei hier nicht zystisch im klassischen Sinne gemeint ist): Erweiterung der Diplöe mit Ausdünnung der Tabula externa und wenig Involvierung der Tabula interna. Kommt typischerweise an der Schädelkalotte vor.
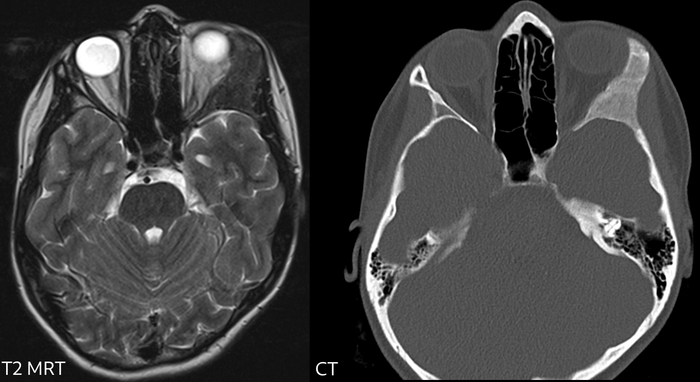
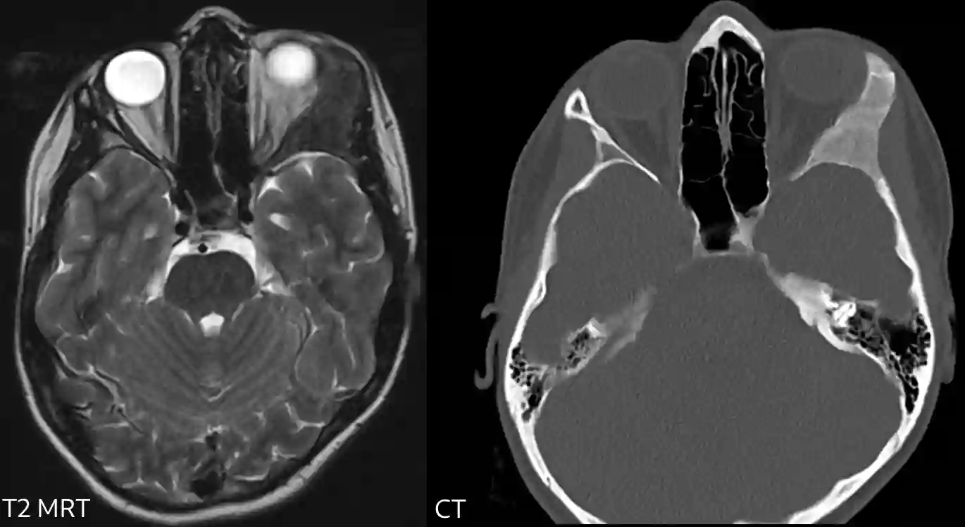
- Skletorisch: Betrifft typischerweise die Schädelbasis, insbesondere das Os sphenoidale und die Gesichtsknochen.
- Gemischt: Die Läsion zeigt sich ähnlich dem zystischen Typ mit Anteilen an erhöhter Densität in der Läsion.
Bildgebung
Läsionen einer fibrösen Dysplasie lassen sich im MRT oder in der CT Bildgebung darstellen.
Assoziierte Erkrankungen
Fibröse Dysplasien sind Teil des McCune-Albright Syndroms.
Referenzen
Handbook of Neurosurgery. Greenberg M, ed. 9th Edition. New York: Thieme; 2019 ↩ ↩ ↩ ↩ ↩ ↩ ↩ ↩ ↩ ↩ ↩ ↩
Parekh, Selene G., et al. "Fibrous dysplasia." JAAOS-Journal of the American Academy of Orthopaedic Surgeons 12.5 (2004): 305-313. ↩ ↩ ↩ ↩
Lee JS, FitzGibbon EJ, Chen YR, et al. Clinical guidelines for the management of craniofacial fibrous dysplasia. Orphanet J Rare Dis. 2012;7 Suppl 1:S2-S2 ↩ ↩ ↩ ↩
Bibby, K., and R. McFadzean. "Fibrous dysplasia of the orbit." British journal of ophthalmology 78.4 (1994): 266-270. ↩ ↩ ↩ ↩
Dumont, Aaron S., et al. "Cranioorbital fibrous dysplasia: with emphasis on visual impairment and current surgical management." Neurosurgical focus 10.5 (2001): 1-8. ↩ ↩ ↩ ↩